
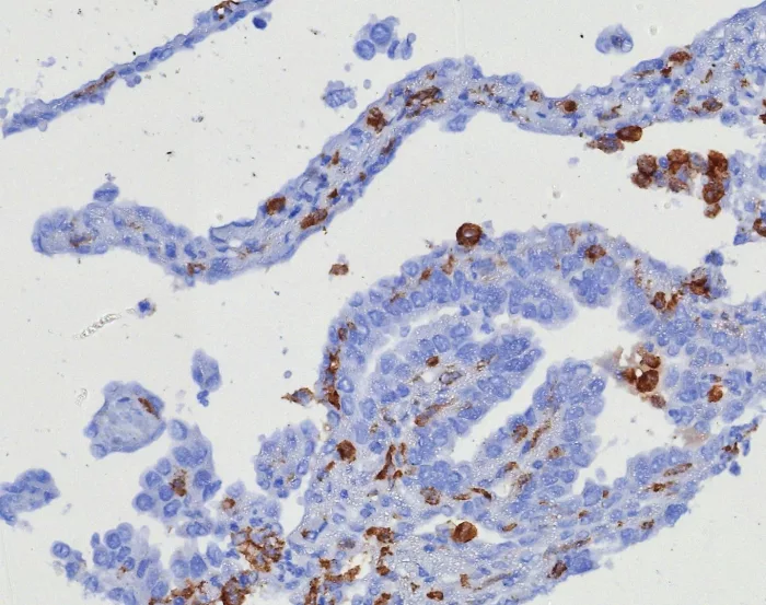
Formalin-fixed, paraffin-embedded human spleen stained with CD163 Recombinant Rabbit Monoclonal Antibody (M130/8361R). HIER: Tris/EDTA, pH9.0, 45min. 2: HRP-polymer, 30min. DAB, 5min.
CD163 is a type I membrane protein, and is a member of the hemoglobin scavenger receptor cystein-rich superfamily. The protein is involved in the clearance of hemoglobin-haptoglobin complexes and is considered to have anti-inflammatory functions. CD163 expression is restricted to the monocytic/macrophage lineage. It is expressed by all circulating monocytes and by a majority of tissue macrophages, such as splenic dendrocytes, alveolar macrophages and Kupffer cells of the liver. It is not present in macrophages in the mantle zone and some of the germinal center cells in lymph follicles, nor in Langerhans cells and interdigitating reticulum cells. In tumor tissues, CD163 is found in almost all cases of acute myeloid leukemia with monocytoid differentiation and in the majority of cases of histiocytic sarcoma, littoral cell angioma, Rosai-Dorfman disease, Langerhans cell histiocytosis and typical and atypical fibrous histiocytoma. It is also expressed in some cases of dermatofibrosarcoma protuberans. CD163 can be used to detect cells of monocytic and histiocyte lineage in neoplastic and reactive lesions. It has been shown to be more sensitive than CD68 for the detection of macrophages and monocytic cells. It covers a similar, but not identical, spectrum of cells as CD68.
There are no reviews yet.