
Formalin-fixed, paraffin-embedded human colon carcinoma stained with CD147 Mouse Monoclonal Antibody (BSG/7957). HIER: Tris/EDTA, pH9.0, 45min. 2°: HRP-polymer, 30min. DAB, 5min.

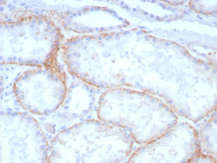
Formalin-fixed, paraffin-embedded human renal cell carcinoma stained with CD147 Mouse Monoclonal Antibody (BSG/7957). HIER: Tris/EDTA, pH9.0, 45min. 2°C: HRP-polymer, 30min. DAB, 5min.

SDS-PAGE Analysis of Purified CD147 Mouse Monoclonal Antibody (BSG/7957). Confirmation of Purity and Integrity of Antibody.

Western Blot Analysis of HeLa and MCF7 cell lysates using CD147 Mouse Monoclonal Antibody (BSG/7957).

Western Blot Analysis of Human Brain and Human Heart tissue lysates using CD147 Mouse Monoclonal Antibody (BSG/7957).

Western blot analysis of Human Brain, Mouse Brain, Rat Brain, Hamster Brain, Guinea pig Brain, Rabbit Brain, Human Heart, Mouse Heart, Rat Heart, Hamster Heart, Guinea pig Heart, Rabbit Heart, Human Liver, Mouse Liver, Rat Liver, Hamster Liver, Guinea pig Liver, and Rabbit Liver tissue lysates using CD147 Mouse Monoclonal Antibody (BSG/7957).
This MAb recognizes extracellular epitope 2 within the N-terminal Ig domain of human CD147. It is expressed more intensely on thymocytes than on mature peripheral blood T cells. CD147 is important in spermatogenesis, embryo implantation, neural network formation, and tumor progression. It stimulates the production of interstitial collagenase, gelatinase A, stromelysin-1 and various metalloproteinases (MMPs) by fibroblasts. These enzymes are important factors in cancer invasion and metastasis.
There are no reviews yet.