
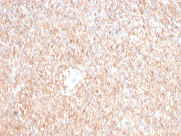
Formalin-fixed, paraffin-embedded human GIST stained with CD117 Mouse Monoclonal Antibody (C117/6347). HIER: Tris/EDTA, pH9.0, 45min. 2°C: HRP-polymer, 30min. DAB, 5min.

Analysis of Protein Array containing more than 19,000 full-length human proteins using CD117 Mouse Monoclonal Antibody (C117/6347). Z- and S- Score: The Z-score represents the strength of a signal that a monoclonal antibody (MAb) (in combination with a fluorescently-tagged anti-IgG secondary antibody) produces when binding to a particular protein on the HuProtTM array. Z-scores are described in units of standard deviations (SD's) above the mean value of all signals generated on that array. If targets on HuProtTM are arranged in descending order of the Z-score, the S-score is the difference (also in units of SD's) between the Z-score. S-score therefore represents the relative target specificity of a MAb to its intended target. A MAb is considered to specific to its intended target, if the MAb has an S-score of at least 2.5. For example, if a MAb binds to protein X with a Z-score of 43 and to protein Y with a Z-score of 14, then the S-score for the binding of that MAb to protein X is equal to 29.
This MAb recognizes a protein of 145kDa, identified as CD117/p145kit. It is found on a wide variety of tumor cells including follicular and papillary carcinoma of thyroid, adenocarcinomas from endometrium, lung, ovary, pancreas, and breast as well as malignant melanoma, endodermal sinus tumor, and small cell carcinoma. However, anti-CD117 has been particularly useful in differentiating gastrointestinal stromal tumors from Kaposi s sarcoma, tumors of smooth muscle origin, fibromatosis, and neural tumors of the GI tract. Anti-CD117 is also useful in recognizing myeloblasts in bone marrow biopsy and clot section.
There are no reviews yet.