CASP7 / Caspase-7 Antibody [CASP7/9054]

In Stock
Catalog Number Formulation Size Price
840-MSM4-P0
Purified Ab with BSA and Azide at 200ug/ml
20ug
$259.00
840-MSM4-P1
Purified Ab with BSA and Azide at 200ug/ml
100ug
$559.00
840-MSM4-P1ABX
Purified Ab WITHOUT BSA and Azide at 1.0mg/ml
100ug
$559.00
Flat Rate Domestic: $95 | Orders outside the US - Contact Us for Order Information | Ships next business day

Applications & Dilutions

Applications Tested Dillution Protocol Note
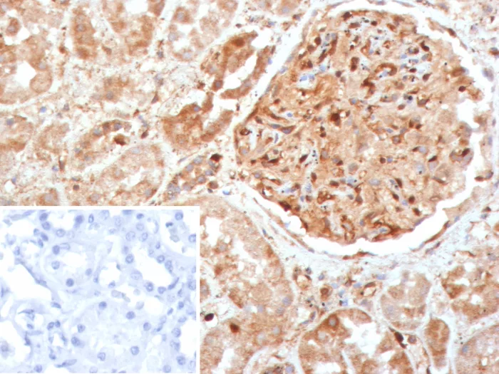
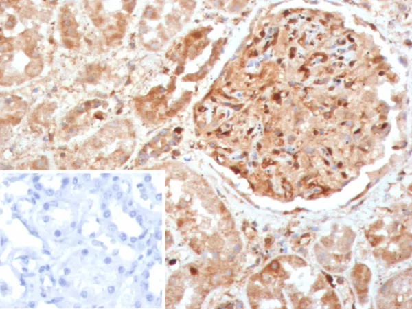
Immunohistochemistry (IHC)
1-2ug/ml
30 min at RT. Staining of formalin-fixed tissues requires heating tissue sections in 10mM Tris with 1mM EDTA, pH 9.0, for 45 min at 95°C followed by cooling at RT for 20 minutes

Summary

A unique family of Cysteine proteases has been described that differs in sequence, structure and substrate specificity from any previously described protease family. This family, CED-3/caspase-1, is comprised of caspase-1, caspase-2, caspase-3, caspase-4, caspase-6, caspase-7 (also designated Mch3, ICE-LAP3 or CMH-1), caspase-9 and caspase-10. CED-3/caspase-1 family members function as key components of the apoptotic machinery and act to destroy specific target proteins which are critical to cellular longevity. Poly(ADP-ribose) polymerase plays an integral role in surveying for DNA mutations and double strand breaks. Caspase-3, caspase-7 and caspase-9, but not caspase-1, have been shown to cleave the nuclear protein PARP into an apoptotic fragment. Caspase-6, but not caspase-3, has been shown to cleave the nuclear lamins which are critical to maintaining the integrity of the nuclear envelope and cellular morphology. Caspase-10 has been shown to activate caspase-3 and caspase-7 in response to apoptotic stimuli.

Product Properties & Targets

Antibody Type
Host
Mouse
Applications
Species Reactivity
Isotype / Light Chain
IgG2b / Kappa
Cellular Localization
Cytoplasm.
Gene Name
Positive Control
Heart|HL60 or Jurkat cells. Human liver|liver or kidney.|spleen
Immunogen
Recombinant fragment (around aa1-200) of human CASP7 protein (exact sequence is proprietary)
Alternate Names
Caspase-7 | Caspase-7 subunit p20 | Caspase-7 subunit p11, Apoptotic protease Mch-3, CMH-1, ICE-like apoptotic protease 3, Apoptotic protease MCH3; Caspase 7 apoptosis related cysteine peptidase; Caspase-7 subunit p11; CMH1; ICE LAP3; ICE-like apoptotic protease 3; LICE2; MCH3

Database Links

Entrez Gene ID
840
SwissProt

Additional Information

Clone
CASP7/9054
Chromosome Location
10q25.3
Mol. Weight of Antigen
28-34kDa

Functions

  • Thiol protease involved in different programmed cell death processes, such as apoptosis, pyroptosis or granzyme-mediated programmed cell death, by proteolytically cleaving target proteins (PubMed:8521391, PubMed:8567622, PubMed:8576161, PubMed:9070923, PubMed:16916640, PubMed:17646170, PubMed:18723680, PubMed:19581639, PubMed:11257230, PubMed:11257231, PubMed:11701129, PubMed:15314233). Has a marked preference for Asp-Glu-Val-Asp (DEVD) consensus sequences, with some plasticity for alternate non-canonical sequences (PubMed:12824163, PubMed:19581639, PubMed:20566630, PubMed:15314233, PubMed:17697120, PubMed:23897474, PubMed:23650375, PubMed:27032039). Its involvement in the different programmed cell death processes is probably determined by upstream proteases that activate CASP7 (By similarity). Acts as an effector caspase involved in the execution phase of apoptosis: following cleavage and activation by initiator caspases (CASP8, CASP9 and/or CASP10), mediates execution of apoptosis by catalyzing cleavage of proteins, such as CLSPN, PARP1, PTGES3 and YY1 (PubMed:10497198, PubMed:16123041, PubMed:16374543, PubMed:16916640, PubMed:18723680, PubMed:20566630, PubMed:21555521, PubMed:22184066, PubMed:22451931, PubMed:28863261, PubMed:31586028, PubMed:34156061, PubMed:27889207, PubMed:35338844, PubMed:35446120). Compared to CASP3, acts as a minor executioner caspase and cleaves a limited set of target proteins (PubMed:18723680). Acts as a key regulator of the inflammatory response in response to bacterial infection by catalyzing cleavage and activation of the sphingomyelin phosphodiesterase SMPD1 in the extracellular milieu, thereby promoting membrane repair (PubMed:21157428). Regulates pyroptosis in intestinal epithelial cells: cleaved and activated by CASP1 in response to S.typhimurium infection, promoting its secretion to the extracellular milieu, where it catalyzes activation of SMPD1, generating ceramides that repair membranes and counteract the action of gasdermin-D (GSDMD) pores (By similarity). Regulates granzyme-mediated programmed cell death in hepatocytes: cleaved and activated by granzyme B (GZMB) in response to bacterial infection, promoting its secretion to the extracellular milieu, where it catalyzes activation of SMPD1, generating ceramides that repair membranes and counteract the action of perforin (PRF1) pores (By similarity). Following cleavage by CASP1 in response to inflammasome activation, catalyzes processing and inactivation of PARP1, alleviating the transcription repressor activity of PARP1 (PubMed:22464733). Acts as an inhibitor of type I interferon production during virus-induced apoptosis by mediating cleavage of antiviral proteins CGAS, IRF3 and MAVS, thereby preventing cytokine overproduction (By similarity). Cleaves and activates sterol regulatory element binding proteins (SREBPs) (PubMed:8643593). Cleaves phospholipid scramblase proteins XKR4, XKR8 and XKR9 (By similarity). In case of infection, catalyzes cleavage of Kaposi sarcoma-associated herpesvirus protein ORF57, thereby preventing expression of viral lytic genes (PubMed:20159985).
  • Lacks enzymatic activity.

Key References

  • Cohen, G.M. 1997. Caspases: the executioners of apoptosis. Biochem. J. 326: 1-16.

PubMed Links

Storage & Stability

Antibody with azide - store at 2 to 8°C. Antibody w2ithout azide - store at -20 to -80°C.Antibody is stable for 24 months. Non-hazardous. No MSDS required.

Limitations

This antibody is available for research use only and is not approved for use in diagnosis.

Supplied as

200ug/ml of Ab purified from Bioreactor Concentrate by Protein A/G. Prepared in 10mM PBS with 0.05% BSA & 0.05% azide. Also available WITHOUT BSA & azide at 1.0mg/ml.

Warranty

There are no warranties, expressed or implied, which extend beyond this description. Company is not liable for any personal injury or economic loss resulting from this product.

Reviews

There are no reviews yet.

Be the first to review “CASP7 / Caspase-7 Antibody”

Your email address will not be published. Required fields are marked *

PARTNERSHIP OPPORTUNITIES

NeoBiotechnologies holds Exclusive rights to 10,000 recombinant and hybridoma antibody products, available for Licensing or Collaboration.

LETS TALK