
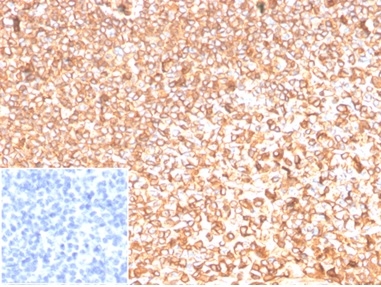
Formalin-fixed, paraffin-embedded human tonsil stained with Beta Actin / ß-Actin Mouse Monoclonal (ACTB/1109). Inset: PBS instead of primary antibody; secondary only negative control.
All eukaryotic cells express Actin, which often constitutes as much as 50% of total cellular protein. Actin filaments can form both stable and labile structures and are crucial components of microvilli and the contractile apparatus of muscle cells. While lower eukaryotes, such as yeast, have only one Actin gene, higher eukaryotes have several isoforms encoded by a family of genes. At least six types of Actin are present in mammalian tissues and fall into three classes. a-Actin expression is limited to various types of muscle, whereas 尾-Actin and g-Actin are the principle constituents of filaments in other tissues. Members of the small GTPase family regulate the organization of the Actin cytoskeleton. Rho controls the assembly of Actin stress fibers and focal adhesion. Rac regulates Actin filament accumulation at the plasma membrane. Cdc42 stimulates formation of filopodia.
There are no reviews yet.