Bcl-2 (Apoptosis & Follicular Lymphoma Marker) Antibody [BCL2/782 + BCL2/796]

In Stock
Catalog Number Formulation Size Price
596-MSM7-P0
Purified Ab with BSA and Azide at 200ug/ml
20ug
$259.00
596-MSM7-P1
Purified Ab with BSA and Azide at 200ug/ml
100ug
$559.00
596-MSM7-P1ABX
Purified Ab WITHOUT BSA and Azide at 1.0mg/ml
100ug
$559.00
Flat Rate Domestic: $95 | Orders outside the US - Contact Us for Order Information | Ships next business day

Applications & Dilutions

Applications Tested Dillution Protocol Note
Immunohistochemistry (IHC)
1-2ug/ml
30 min at RT. Staining of formalin-fixed tissues requires heating tissue sections in 10mM Tris with 1mM EDTA, pH 9.0, for 45 min at 95°C followed by cooling at RT for 20 minutes
Western Blot (WB)
2-4ug/ml

Summary

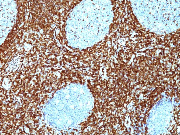
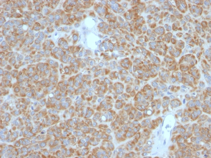
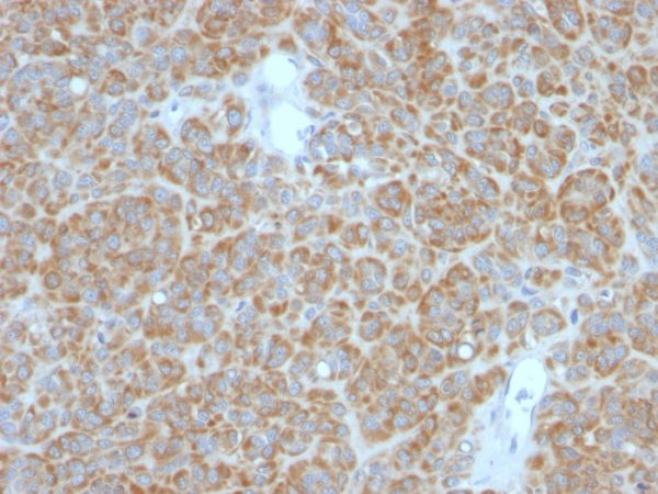
This antibody recognizes a protein of 25-26kDa, identified as the bcl-2 lpha oncoprotein. It shows no cross-reaction with Bcl-x or Bax protein. Expression of bcl-2 lpha oncoprotein inhibits the programmed cell death (apoptosis). In most follicular lymphomas, neoplastic germinal centers express high levels of bcl-2 lpha protein, whereas the normal or hyperplastic germinal centers are negative. Consequently, this antibody is valuable when distinguishing between reactive and neoplastic follicular proliferation in lymph node biopsies. It may also be used in distinguishing between those follicular lymphomas that express bcl-2 protein and the small number in which the neoplastic cells are bcl-2 negative.

Product Properties & Targets

Antibody Type
Host
Mouse
Species Reactivity
Isotype / Light Chain
IgG1 / Kappa
Cellular Localization
Cytoplasm, Endoplasmic reticulum membrane, Mitochondrion outer membrane, Nucleus membrane
Gene Name
Positive Control
HL-60 or HeLa cells. Tonsil or follicular lymphomas., Jurkat, K562, MCF-7
Immunogen
Recombinant full-length human bcl-2 protein
Alternate Names
Apoptosis regulator Bcl-2, Apoptosis regulator Bcl-2, B-cell CLL/lymphoma-2

Database Links

Entrez Gene ID
596
SwissProt

Additional Information

Clone
BCL2/782 + BCL2/796
Chromosome Location
18q21.33
Mol. Weight of Antigen
25-26kDa

Functions

  • Suppresses apoptosis in a variety of cell systems including factor-dependent lymphohematopoietic and neural cells (PubMed:1508712, PubMed:8183370). Regulates cell death by controlling the mitochondrial membrane permeability (PubMed:11368354). Appears to function in a feedback loop system with caspases (PubMed:11368354). Inhibits caspase activity either by preventing the release of cytochrome c from the mitochondria and/or by binding to the apoptosis-activating factor (APAF-1) (PubMed:11368354). Also acts as an inhibitor of autophagy: interacts with BECN1 and AMBRA1 during non-starvation conditions and inhibits their autophagy function (PubMed:18570871, PubMed:21358617, PubMed:20889974). May attenuate inflammation by impairing NLRP1-inflammasome activation, hence CASP1 activation and IL1B release (PubMed:17418785).

Key References

  • Pezzella F et. al.. American Journal of Pathology, 1990, 137(2):225-32.
  • Adams, J.M., et al. 1998. The Bcl-2 protein family: arbiters of cell survival. Science 281: 1322-1326.

PubMed Links

Storage & Stability

Antibody with azide - store at 2 to 8°C. Antibody without azide - store at -20 to -80°C. Antibody is stable for 24 months. Non-hazardous. No MSDS required.

Limitations

This antibody is available for research use only and is not approved for use in diagnosis.

Supplied as

200ug/ml of Ab Purified from Bioreactor Concentrate by Protein A/G. Prepared in 10mM PBS with 0.05% BSA & 0.05% azide. Also available WITHOUT BSA & azide at 1.0mg/ml.

Warranty

There are no warranties, expressed or implied, which extend beyond this description. Company is not liable for any personal injury or economic loss resulting from this product.

Reviews

There are no reviews yet.

Be the first to review “Bcl-2 (Apoptosis & Follicular Lymphoma Marker) Antibody”

Your email address will not be published. Required fields are marked *

PARTNERSHIP OPPORTUNITIES

NeoBiotechnologies holds Exclusive rights to 10,000 recombinant and hybridoma antibody products, available for Licensing or Collaboration.

LETS TALK