
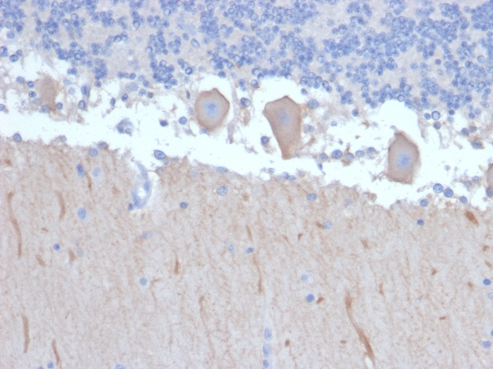
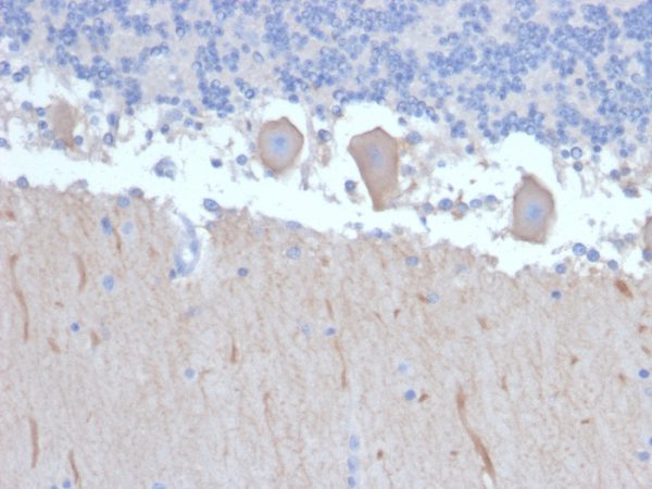
Formalin-fixed, paraffin-embedded human Brain stained with ATG5 Mouse Monoclonal Antibody (ATG5/2492).

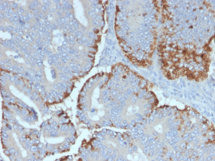
Formalin-fixed, paraffin-embedded human Colon Carcinoma stained with ATG5 Mouse Monoclonal Antibody (ATG5/2492).

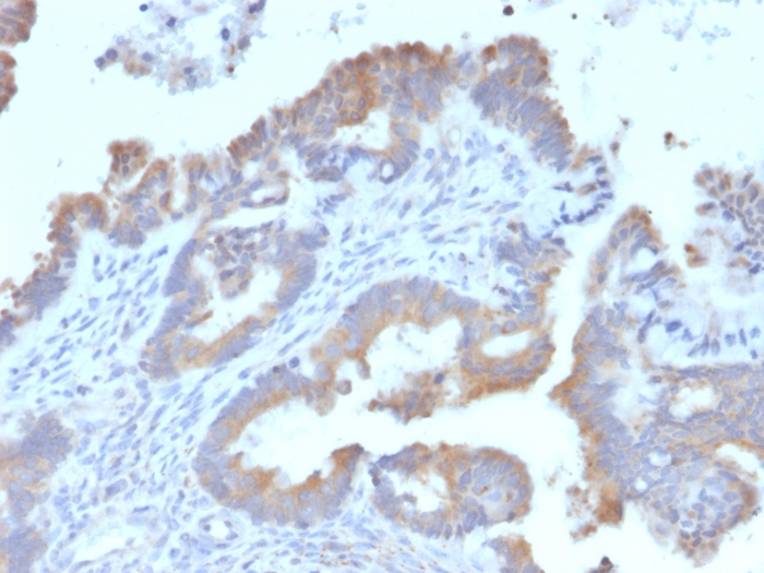
Formalin-fixed, paraffin-embedded human Endometrial Carcinoma stained with ATG5 Mouse Monoclonal Antibody (ATG5/2492).

Formalin-fixed, paraffin-embedded human Ovarian Carcinoma stained with ATG5 Mouse Monoclonal Antibody (ATG5/2492).
The protein encoded by this gene, in combination with autophagy protein 12, functions as an E1-like activating enzyme in a ubiquitin-like conjugating system. The encoded protein is involved in several cellular processes, including autophagic vesicle formation, mitochondrial quality control after oxidative damage, negative regulation of the innate antiviral immune response, lymphocyte development and proliferation, MHC II antigen presentation, adipocyte differentiation, and apoptosis. The ATG5 protein is essential for autophagy; a process that is usually beneficial for cells to self-degrade their own components when they are no longer useful.
There are no reviews yet.