ARID1A / SMARCF1 Antibody [ARID1A/7735]

In Stock
Catalog Number Formulation Size Price
8289-MSM1-P0
Purified Ab with BSA and Azide at 200ug/ml
20ug
$259.00
8289-MSM1-P1
Purified Ab with BSA and Azide at 200ug/ml
100ug
$559.00
8289-MSM1-P1ABX
Purified Ab WITHOUT BSA and Azide at 1.0mg/ml
100ug
$559.00
Flat Rate Domestic: $95 | Orders outside the US - Contact Us for Order Information | Ships next business day

Applications & Dilutions

Applications Tested Dillution Protocol Note
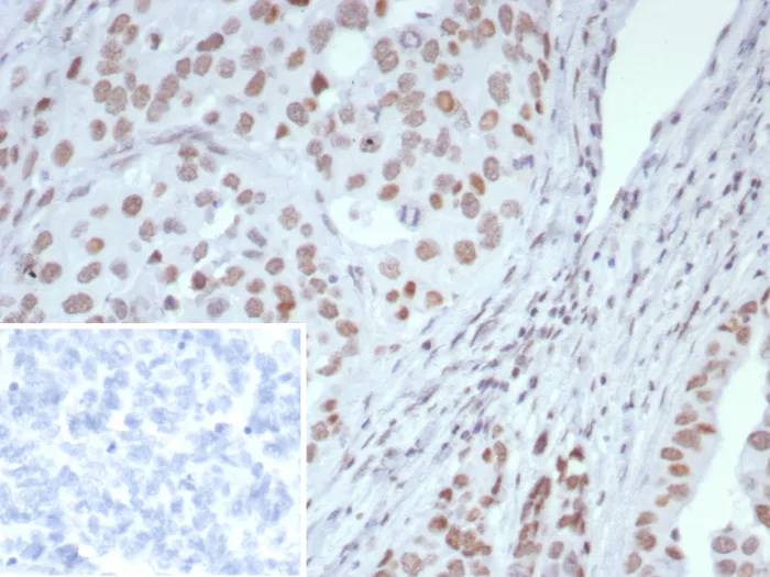
Immunohistochemistry (IHC)
1-2ug/ml
30 min at RT. Staining of formalin-fixed tissues requires heating tissue sections in 10mM Tris with 1mM EDTA, pH 9.0, for 45 min at 95°C followed by cooling at RT for 20 minutes

Summary

The SWI-SNF complex is involved in the activation of transcription via the remodeling of nucleosome structure in an ATP-dependent manner. Brm (also designated SNF2a) and Brg-1 (also designated SNF2b) are the ATPase subunits of the mammalian SWI-SNF complex. Brm, Brg-1, Ini1 (integrase interactor 1, also designated SNF5), BAF155 (also designated SRG3) and BAF170 are thought to comprise the functional core of the SWI-SNF complex. Addition of Ini1, BAF155 and BAF170 to Brg-1 appears to increase remodeling activity. Other complex subunits, such as BAF250a (p270 or ARID1A) and BAF250b (ARID1B), are thought to play regulatory roles.

Product Properties & Targets

Antibody Type
Host
Mouse
Applications
Species Reactivity
Isotype / Light Chain
IgG2b / Kappa
Cellular Localization
Nucleus.
Gene Name
Positive Control
and PBL.|colon|Highly expressed in spleen|ovary|prostate|Small Intestine|testis|thymus
Immunogen
Recombinant fragment (around aa1900-2000) of human ARID1A protein (exact sequence is proprietary)
Alternate Names
AT-rich interactive domain-containing protein 1A, B120, BRG1-associated factor 250, BRG1-associated factor 250a, Osa homolog 1, SWI-like protein, SWI/SNF complex protein p270, SWI/SNF-related, matrix-associated, actin-dependent regulator of chromatin subfamily F member 1, hELD, actin-dependent regulator of chromatin subfamily F member 1; ARID domain containing protein 1A; AT rich interactive domain 1A (SWI like); AT rich interactive domain containing protein 1A; B120; BAF250; BAF250A; BM029; brain protein 120; BRG1-associated factor 250a; C1ORF4; chromatin remodeling factor p250; chromosome 1 open reading frame 4; ELD; hELD; hOSA1; matrix-associated; MRD14; OSA1 nuclear protein; P270; SMARCF1; SWI-like protein; SWI/SNF complex protein p270; SWI/SNF related, matrix associated, actin dependent regulator of chromatin, subfamily f, member 1

Database Links

Entrez Gene ID
SwissProt

Additional Information

Clone
ARID1A/7735
Chromosome Location
1p36.11
Mol. Weight of Antigen
165-320kDa

Functions

  • Involved in transcriptional activation and repression of select genes by chromatin remodeling (alteration of DNA-nucleosome topology). Component of SWI/SNF chromatin remodeling complexes that carry out key enzymatic activities, changing chromatin structure by altering DNA-histone contacts within a nucleosome in an ATP-dependent manner. Binds DNA non-specifically. Belongs to the neural progenitors-specific chromatin remodeling complex (npBAF complex) and the neuron-specific chromatin remodeling complex (nBAF complex). During neural development a switch from a stem/progenitor to a postmitotic chromatin remodeling mechanism occurs as neurons exit the cell cycle and become committed to their adult state. The transition from proliferating neural stem/progenitor cells to postmitotic neurons requires a switch in subunit composition of the npBAF and nBAF complexes. As neural progenitors exit mitosis and differentiate into neurons, npBAF complexes which contain ACTL6A/BAF53A and PHF10/BAF45A, are exchanged for homologous alternative ACTL6B/BAF53B and DPF1/BAF45B or DPF3/BAF45C subunits in neuron-specific complexes (nBAF). The npBAF complex is essential for the self-renewal/proliferative capacity of the multipotent neural stem cells. The nBAF complex along with CREST plays a role regulating the activity of genes essential for dendrite growth (By similarity).

Key References

  • Flajollet, S., et al. 2007. Mol. Cell. Endocrinol. 270: 23-32.

PubMed Links

Storage & Stability

Antibody with azide - store at 2 to 8°C. Antibody without azide - store at -20 to -80°C. Antibody is stable for 24 months. Non-hazardous. No MSDS required.

Limitations

This antibody is available for research use only and is not approved for use in diagnosis.

Supplied as

200ug/ml of Ab purified from Bioreactor Concentrate by Protein A/G. Prepared in 10mM PBS with 0.05% BSA & 0.05% azide. Also available WITHOUT BSA & azide at 1.0mg/ml.

Warranty

There are no warranties, expressed or implied, which extend beyond this description. Company is not liable for any personal injury or economic loss resulting from this product.

Reviews

There are no reviews yet.

Be the first to review “ARID1A / SMARCF1 Antibody”

Your email address will not be published. Required fields are marked *

PARTNERSHIP OPPORTUNITIES

NeoBiotechnologies holds Exclusive rights to 10,000 recombinant and hybridoma antibody products, available for Licensing or Collaboration.

LETS TALK