
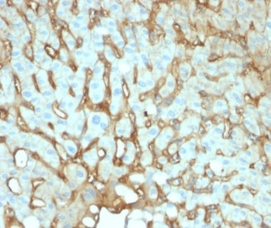
Formalin-fixed, paraffin-embedded human hepatocellular carcinoma stained with Albumin Mouse Monoclonal Antibody (ALB/2141).

SDS-PAGE Analysis of Purified Albumin Mouse Monoclonal Antibody (ALB/2141). Confirmation of Purity and Integrity of Antibody.

Western blot analysis of human liver tissue lysate using Albumin Mouse Monoclonal Antibody (ALB/2141).

Analysis of Protein Array containing more than 19,000 full-length human proteins using Albumin Mouse Monoclonal Antibody (ALB/2141). Z- and S- Score: The Z-score represents the strength of a signal that a monoclonal antibody (MAb) (in combination with a fluorescently-tagged anti-IgG secondary antibody) produces when binding to a particular protein on the HuProtTM array. Z-scores are described in units of standard deviations (SD's) above the mean value of all signals generated on that array. If targets on HuProtTM are arranged in descending order of the Z-score, the S-score is the difference (also in units of SD's) between the Z-score. S-score therefore represents the relative target specificity of a MAb to its intended target. A MAb is considered to specific to its intended target, if the MAb has an S-score of at least 2.5. For example, if a MAb binds to protein X with a Z-score of 43 and to protein Y with a Z-score of 14, then the S-score for the binding of that MAb to protein X is equal to 29.
This MAb is absolutely specific to albumin and does not show any significant cross-reaction with other human proteins. Albumin is a soluble, monomeric protein, which comprises about one half of the blood serum protein. Albumin functions primarily as a carrier protein for steroids, fatty acids, and thyroid hormones and plays a role in stabilizing extracellular fluid volume.Albumin is synthesized in the liver as preproalbumin, which has an N-terminal peptide that is removed before the nascent protein is released from the rough endoplasmic reticulum. The product, proalbumin, is in turn cleaved in the Golgi vesicles to produce the secreted form of albumin.
There are no reviews yet.