
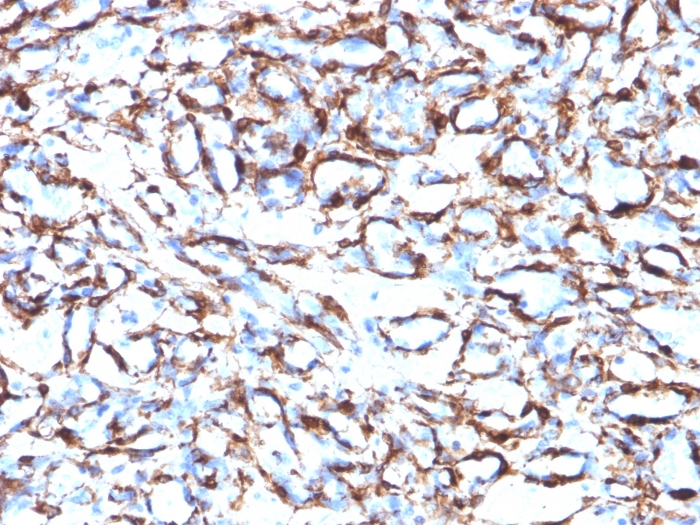
Formalin-fixed, paraffin-embedded human Angiosarcoma stained with Smooth Muscle Actin Monoclonal Antibody (ACTA2/791).

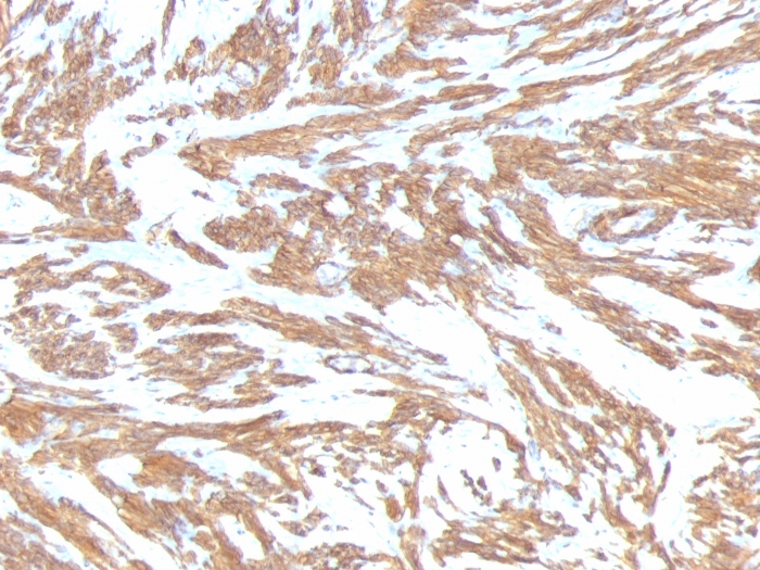
Formalin-fixed, paraffin-embedded human Leiomyosarcoma stained with Smooth Muscle Actin Monoclonal Antibody (ACTA2/791).

Formalin-fixed, paraffin-embedded human colon carcinoma stained with Smooth Muscle Actin Monoclonal Antibody (ACTA2/791).
Actin is a major component of the cytoskeleton and is present in most cell types. It is highly specific to actin from smooth muscles. This MAb does not stain cardiac or skeletal muscle; however, it does stain myofibroblasts and myoepithelial cells. This antibody could be used together with anti-muscle specific actin and myogenin in making a diagnosis of smooth muscle and skeletal muscle tumors. In most cases of rhabdomyosarcoma, this antibody yields negative results whereas anti-muscle specific actin and myogenin are positive. Leiomyosarcomas are positive only with anti-muscle specific actin and anti-smooth muscle actin and are negative with anti-myogenin.
There are no reviews yet.