von Willebrand Factor / Factor VIII Related-Ag (Endothelial Marker) Antibody [VWF/4105]

In Stock
Catalog Number Formulation Size Price
7450-MSM15-P0
Purified Ab with BSA and Azide at 200ug/ml
20ug
$259.00
7450-MSM15-P1
Purified Ab with BSA and Azide at 200ug/ml
100ug
$559.00
7450-MSM15-P1ABX
Purified Ab WITHOUT BSA and Azide at 1.0mg/ml
100ug
$559.00
Flat Rate Domestic: $95 | Orders outside the US - Contact Us for Order Information | Ships next business day

Applications & Dilutions

Applications Tested Dillution Protocol Note
Immunohistochemistry (IHC)
1-2ug/ml
30 min at RT. Staining of formalin-fixed tissues requires heating tissue sections in 10mM Tris with 1mM EDTA, pH 9.0, for 45 min at 95°C followed by cooling at RT for 20 minutes

Summary

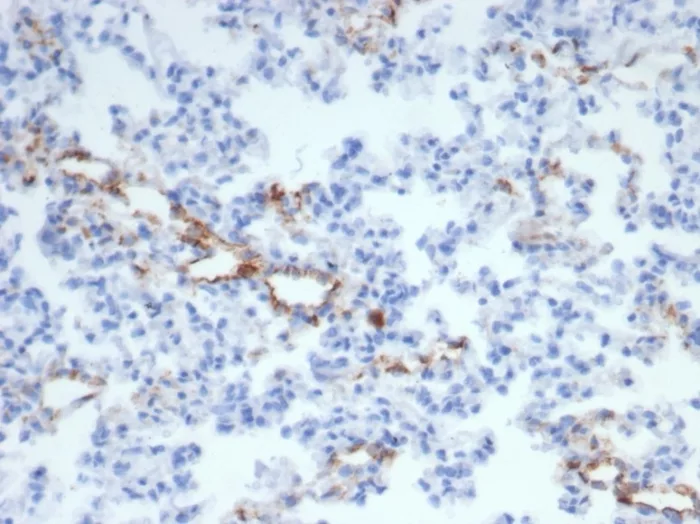
von Willebrand Factor (vWF) is a multimeric glycoprotein that is found in endothelial cells, plasma and platelets. It acts as a carrier protein for Factor VIII and promotes platelet adhesion and aggregation. vWF undergoes a variety of posttranslational modifications that influence the affinity and availability for Factor VIII, including cleavage of the propeptide and formation of N-terminal disulfide bonds. This antibody helps to establish the endothelial nature of some lesions of disputed histogenesis, e.g. Kaposi s sarcoma and cardiac myxoma. It is widely used for differentiating vascular lesions from those of other tissue differentiation within a panel of other vascular markers although not all tumors of endothelial differentiation contain this antigen.

Product Properties & Targets

Antibody Type
Host
Mouse
Applications
Species Reactivity
Isotype / Light Chain
IgG1 / Kappa
Cellular Localization
Cytoplasm.
Gene Name
VWF
Positive Control
HUVEC cells. Human tonsil or uterus.
Immunogen
Recombinant human vWF fragment spanning around aa 845-949 (exact sequence is proprietary)
Alternate Names
von Willebrand factor | von Willebrand antigen 2, von Willebrand antigen II, Coagulation Factor VIII, Factor VIII Related Antigen, F8VWF, von Willebrand Antigen 2, von Willebrand Disease (vWD)

Database Links

Entrez Gene ID
SwissProt

Additional Information

Clone
VWF/4105
Chromosome Location
12p13.31
Mol. Weight of Antigen
250kDa

Functions

  • Important in the maintenance of hemostasis, it promotes adhesion of platelets to the sites of vascular injury by forming a molecular bridge between sub-endothelial collagen matrix and platelet-surface receptor complex GPIb-IX-V. Also acts as a chaperone for coagulation factor VIII, delivering it to the site of injury, stabilizing its heterodimeric structure and protecting it from premature clearance from plasma.

Key References

  • Motta, A.et al.2009. J Biomater Sci Polym Ed. 20: 1875-1897.
  • Germann, B.et al.2008. Pharmazie. 63: 303-307.

PubMed Links

Storage & Stability

Antibody with azide - store at 2 to 8°C. Antibody without azide - store at -20 to -80°C. Antibody is stable for 24 months. Non-hazardous. No MSDS required.

Limitations

This antibody is available for research use only and is not approved for use in diagnosis.

Supplied as

200ug/ml of Ab purified from Bioreactor Concentrate by Protein A/G. Prepared in 10mM PBS with 0.05% BSA & 0.05% azide. Also available WITHOUT BSA & azide at 1.0mg/ml.

Warranty

There are no warranties, expressed or implied, which extend beyond this description. Company is not liable for any personal injury or economic loss resulting from this product.

Reviews

There are no reviews yet.

Be the first to review “von Willebrand Factor / Factor VIII Related-Ag (Endothelial Marker) Antibody”

Your email address will not be published. Required fields are marked *

PARTNERSHIP OPPORTUNITIES

NeoBiotechnologies holds Exclusive rights to 10,000 recombinant and hybridoma antibody products, available for Licensing or Collaboration.

LETS TALK