Recombinant Uroplakin 3B (UPK3B) (Marker of Mesothelial & Umbrella Cells) Antibody [UPK3B/8550R]

In Stock
Catalog Number Formulation Size Price
105375355-RBM2-P0
Purified Ab with BSA and Azide at 200ug/ml
20ug
$259.00
105375355-RBM2-P1
Purified Ab with BSA and Azide at 200ug/ml
100ug
$559.00
105375355-RBM2-P1ABX
Purified Ab WITHOUT BSA and Azide at 1.0mg/ml
100ug
$559.00
Flat Rate Domestic: $95 | Orders outside the US - Contact Us for Order Information | Ships next business day

Applications & Dilutions

Applications Tested Dillution Protocol Note
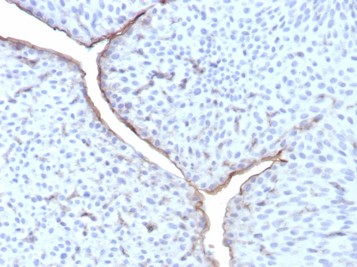
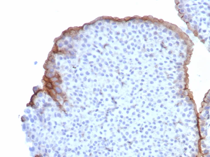
Immunohistochemistry (IHC)
1-2ug/ml
30 min at RT. Staining of formalin-fixed tissues requires heating tissue sections in 10mM Tris with 1mM EDTA, pH 9.0, for 45 min at 95°C followed by cooling at RT for 20 minutes

Summary

The protein encoded by this gene is a member of the transmembrane 4 superfamily, also known as the tetraspanin family. Most of these members are cell-surface proteins that are characterized by the presence of four hydrophobic domains. The proteins mediate signal transduction events that play a role in the regulation of cell development, activation, growth and motility. This encoded protein is found in the asymmetrical unit membrane (AUM) where it can complex with other transmembrane 4 superfamily proteins. It may play a role in normal bladder epithelial physiology, possibly in regulating membrane permeability of superficial umbrella cells or in stabilizing the apical membrane through AUM/cytoskeletal interactions. The protein may also play a role in tumor suppression. �

Product Properties & Targets

Host
Rabbit
Applications
Species Reactivity
Isotype / Light Chain
IgG / Kappa
Cellular Localization
Cell surface. Heterodimer formation with UPK1B is a prerequisite to exit out of the endoplasmic reticulum.
Gene Name
Positive Control
Human urinary bladder.
Immunogen
Recombinant fragment (around aa 100-300) of human Uroplakin 3B (UPK3B) protein (exact sequence is proprietary)
Alternate Names
Uroplakin-3b, Uroplakin IIIb, p35, FLJ32198; MGC10902; p35; UP3b; UPIIIb; UPK3B; UPK3B_HUMAN; uroplakin 3B; Uroplakin IIIb; Uroplakin-3b

Database Links

Entrez Gene ID
SwissProt

Additional Information

Clone
UPK3B/8550R
Chromosome Location
19q13.12
Mol. Weight of Antigen
32kDa

Functions

  • Component of the asymmetric unit membrane (AUM); a highly specialized biomembrane elaborated by terminally differentiated urothelial cells. May play an important role in AUM-cytoskeleton interaction in terminally differentiated urothelial cells. It also contributes to the formation of urothelial glycocalyx which may play an important role in preventing bacterial adherence (By similarity).

Key References

  • Kristoffersen HL, et al. Comparison of Antibodies to Detect Uroplakin in Urothelial Carcinomas. Appl Immunohistochem Mol Morphol. 2022 May-Jun 01;30(5):326-332. doi: 10.1097/PAI.0000000000001021.

Storage & Stability

Antibody with azide - store at 2 to 8°C. Antibody without azide - store at -20 to -80°C. Antibody is stable for 24 months. Non-hazardous. No MSDS required.

Limitations

This antibody is available for research use only and is not approved for use in diagnosis.

Supplied as

200ug/ml of Ab purified from Bioreactor Concentrate by Protein A/G. Prepared in 10mM PBS with 0.05% BSA & 0.05% azide. Also available WITHOUT BSA & azide at 1.0mg/ml.

Warranty

There are no warranties, expressed or implied, which extend beyond this description. Company is not liable for any personal injury or economic loss resulting from this product.

Reviews

There are no reviews yet.

Be the first to review “Recombinant Uroplakin 3B (UPK3B) (Marker of Mesothelial & Umbrella Cells) Antibody”

Your email address will not be published. Required fields are marked *

PARTNERSHIP OPPORTUNITIES

NeoBiotechnologies holds Exclusive rights to 10,000 recombinant and hybridoma antibody products, available for Licensing or Collaboration.

LETS TALK