
Formalin-fixed, paraffin-embedded human Urothelial Carcinoma stained with Uroplakin 1B Mouse Monoclonal Antibody (UPK1B/3081).

Formalin-fixed, paraffin-embedded human Urothelial Carcinoma stained with Uroplakin 1B Mouse Monoclonal Antibody (UPK1B/3081).

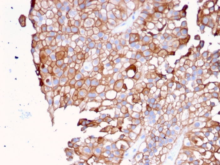
Formalin-fixed, paraffin-embedded human Urothelial Carcinoma stained with Uroplakin 1B Mouse Monoclonal Antibody (UPK1B/3081).

SDS-PAGE Analyis Purified Uroplakin 1B Mouse Monoclonal Antibody (UPK1B/3081). Confirmation of Purity and Integrity of Antibody.

Analysis of Protein Array containing more than 19,000 full-length human proteins using Uroplakin 1B Mouse Monoclonal Antibody (UPK1B/3081) Z- and S- Score: The Z-score represents the strength of a signal that a monoclonal antibody (MAb) (in combination with a fluorescently-tagged anti-IgG secondary antibody) produces when binding to a particular protein on the HuProtTM array. Z-scores are described in units of standard deviations (SD's) above the mean value of all signals generated on that array. If targets on HuProtTM are arranged in descending order of the Z-score, the S-score is the difference (also in units of SD's) between the Z-score. S-score therefore represents the relative target specificity of a MAb to its intended target. A MAb is considered to specific to its intended target, if the MAb has an S-score of at least 2.5. For example, if a MAb binds to protein X with a Z-score of 43 and to protein Y with a Z-score of 14, then the S-score for the binding of that MAb to protein X is equal to 29.
The protein encoded by this gene is a member of the transmembrane 4 superfamily, also known as the tetraspanin family. Most of these members are cell-surface proteins that are characterized by the presence of four hydrophobic domains. The proteins mediate signal transduction events that play a role in the regulation of cell development, activation, growth and motility. This encoded protein is found in the asymmetrical unit membrane (AUM) where it can form a complex with other transmembrane 4 superfamily proteins. It may play a role in normal bladder epithelial physiology, possibly in regulating membrane permeability of superficial umbrella cells or in stabilizing the apical membrane through AUM/cytoskeletal interactions.UPK1B is expressed by terminally differentiated urothelial cells.
There are no reviews yet.