TRAcP (Tartrate-Resistant Acid Phosphatase) (Hairy Cell Leukemia Marker) Antibody [SPM601]

In Stock
Catalog Number Formulation Size Price
54-MSM1X-P0
Purified Ab with BSA and Azide at 200ug/ml
20ug
$259.00
54-MSM1X-P1
Purified Ab with BSA and Azide at 200ug/ml
100ug
$559.00
54-MSM1X-P1ABX
Purified Ab WITHOUT BSA and Azide at 1.0mg/ml
100ug
$559.00
Flat Rate Domestic: $95 | Orders outside the US - Contact Us for Order Information | Ships next business day

Applications & Dilutions

Applications Tested Dillution Protocol Note
Flow Cytometry (Flow)
1-2ug/million cells
Immunofluorescence (IF)
1-3ug/ml
Immunohistochemistry (IHC)
1-2ug/ml
30 min at RT. Staining of formalin-fixed tissues requires heating tissue sections in 10mM Tris with 1mM EDTA, pH 9.0, for 45 min at 95°C followed by cooling at RT for 20 minutes

Summary

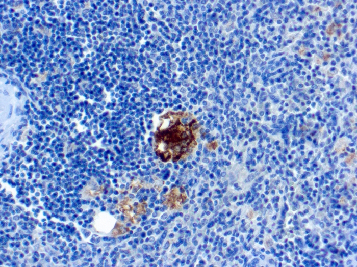
It recognizes a protein of 35kDa, which is identified as tartrate-resistant acid phosphatase (TRAcP). It exists as two isoforms (5a and 5b). This MAb reacts with both the isoforms. Serum TRAcP 5a is secreted by macrophages and dendritic cells and increased in many patients of rheumatoid arthritis.Serum TRAcP 5b is produced from osteoclasts and elevated during bone resorption. TRAcP is an iron containing glycoprotein, which catalyzes the conversion of orthophosphoric monoester to alcohol and orthophosphate. It is the most basic of the acid phosphatases and is the only form not inhibited by L(+)-tartrate. TRAcP is synthesized as a latent proenzyme and is activated by proteolytic cleavage and reduction. Normally, TRAcP is highly expressed by osteoclasts, activated macrophages, neurons and endometrium during pregnancy. Expression of TRAcP is increased in certain pathological conditions such as Leukemic Reticuloendotheliosis (Hairy Cell Leukemia), Gaucher’s Disease, HIV-induced Encephalopathy, Osteoclastoma and in osteoporosis and metabolic bone diseases. Anti-TRAcP antibody labels the cells of Hairy Cell Leukemia (HCL) with a high degree of sensitivity and specificity. Other cells stained with this antibody are tissue macrophages and osteoclasts.

Product Properties & Targets

Antibody Type
Host
Mouse
Species Reactivity
Isotype / Light Chain
IgG2b / Kappa
Cellular Localization
Lysosome
Gene Name
Positive Control
293T, HePG2, K562 or RPMI-8226 cells. Spleen from Hairy Cell Leukemia (HCL) patient.
Immunogen
Recombinant full-length human ACP5 protein
Alternate Names
Tartrate-resistant acid phosphatase type 5, Tartrate-resistant acid ATPase, Type 5 acid phosphatase, Acid phosphatase 5, tartrate resistant; ACP5; serum band 5 tartrate-resistant acid phosphatase; SPENCDI; Tartrate-resistant acid ATPase; Tartrate-resistant acid phosphatase type 5; TR-AP; TRACP5; TRAcP; TRAP; TrATPase; Type 5 acid phosphatase

Database Links

Entrez Gene ID
54
SwissProt

Additional Information

Clone
SPM601
Chromosome Location
19p13.2
Mol. Weight of Antigen
35kDa

Functions

  • Involved in osteopontin/bone sialoprotein dephosphorylation. Its expression seems to increase in certain pathological states such as Gaucher and Hodgkin diseases, the hairy cell, the B-cell, and the T-cell leukemias.

Key References

  • Capeller, B., Caffier, H., Sutterlin, M.W. and Dietl, J. 2003. Evaluation of tartrate-resistant acid phosphatase (TRAP) 5b as serum marker of bone metastases in human breast cancer. Anticancer Res. 23: 1011-1015.

Storage & Stability

Antibody with azide - store at 2 to 8°C. Antibody without azide - store at -20 to -80°C. Antibody is stable for 24 months. Non-hazardous. No MSDS required.

Limitations

This antibody is available for research use only and is not approved for use in diagnosis.

Supplied as

200ug/ml of Ab Purified from Bioreactor Concentrate by Protein A/G. Prepared in 10mM PBS with 0.05% BSA & 0.05% azide. Also available WITHOUT BSA & azide at 1.0mg/ml.

Warranty

There are no warranties, expressed or implied, which extend beyond this description. Company is not liable for any personal injury or economic loss resulting from this product.

Reviews

There are no reviews yet.

Be the first to review “TRAcP (Tartrate-Resistant Acid Phosphatase) (Hairy Cell Leukemia Marker) Antibody”

Your email address will not be published. Required fields are marked *

PARTNERSHIP OPPORTUNITIES

NeoBiotechnologies holds Exclusive rights to 10,000 recombinant and hybridoma antibody products, available for Licensing or Collaboration.

LETS TALK