
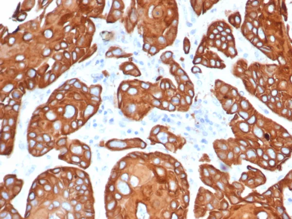
Formalin-fixed, paraffin-embedded human esophageal cancer stained with TIMP1 Mouse Monoclonal Antibody (TIMP1/4358). HIER: Tris/EDTA, pH9.0, 45min. 2°C: HRP-polymer, 30min. DAB, 5min.

IHC analysis of formalin-fixed, paraffin-embedded human brain. Negative tissue control using TIMP1/4358 at 2ug/ml in PBS for 30min RT. HIER: Tris/EDTA, pH9.0, 45min. 2°C: HRP-polymer, 30min. DAB, 5min.

Analysis of Protein Array containing more than 19,000 full-length human proteins using TIMP1 Mouse Monoclonal Antibody (TIMP1/4358). Z- and S- Score: The Z-score represents the strength of a signal that a monoclonal antibody (MAb) (in combination with a fluorescently-tagged anti-IgG secondary antibody) produces when binding to a particular protein on the HuProtTM array. Z-scores are described in units of standard deviations (SD's) above the mean value of all signals generated on that array. If targets on HuProtTM are arranged in descending order of the Z-score, the S-score is the difference (also in units of SD's) between the Z-score. S-score therefore represents the relative target specificity of a MAb to its intended target. A MAb is considered to specific to its intended target, if the MAb has an S-score of at least 2.5. For example, if a MAb binds to protein X with a Z-score of 43 and to protein Y with a Z-score of 14, then the S-score for the binding of that MAb to protein X is equal to 29.
TIMP-1, TIMP-2, TIMP-3 and TIMP-4 (for tissue inhibitor of metalloproteinases -1, -2, -3 and -4) complex with metalloproteinases such as collagenases, gelatinases and stromelysins, resulting in irreversible inactivation of the metalloproteinase. TIMP-1 is identical to EPA (erythroid-potentiation activity). PTH has been shown to be a regulator of TIMP-2 in osteoblastic cells. TIMP-3 may be involved in regulating trophoblastic invasion of the uterus as well as in regulating remodeling of the extracellular matrix during the folding of epithelia, and in the formation, branching and expansion of epithelial tubes. TIMP-4 is most highly expressed in heart tissues. Studies have demonstrated that TIMP1 is useful as a biomarker for early detection of colorectal cancer, outperforming CEA. Additionally, TIMP1 studies have demonstrated its role in CRC tumorigenesis, as well as observing its overexpression in metastatic lymph nodes.
There are no reviews yet.