Tenascin C (Stromal Marker for Epithelial Malignancy) Antibody [SPM319]

In Stock
Catalog Number Formulation Size Price
3371-MSM1X-P0
Purified Ab with BSA and Azide at 200ug/ml
20ug
$259.00
3371-MSM1X-P1
Purified Ab with BSA and Azide at 200ug/ml
100ug
$559.00
3371-MSM1X-P1ABX
Purified Ab WITHOUT BSA and Azide at 1.0mg/ml
100ug
$559.00
Flat Rate Domestic: $95 | Orders outside the US - Contact Us for Order Information | Ships next business day

Applications & Dilutions

Applications Tested Dillution Protocol Note
Flow Cytometry (Flow)
1-2ug/million cells
Immunofluorescence (IF)
1-3ug/ml
Immunohistochemistry (IHC)
1-2ug/ml
30 min at RT. Staining of formalin-fixed tissues requires heating tissue sections in 10mM Tris with 1mM EDTA, pH 9.0, for 45 min at 95°C followed by cooling at RT for 20 minutes

Summary

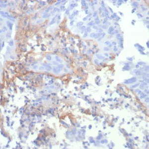
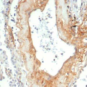
In Western blotting, it reacts with two bands of ~MW of 210kDa and 300kDa, identified as two isoforms of Tenascin C. Specificity of this MAb is validated by sequential immunoprecipitation with a PAb against Tenascin C. Tenascin C is a multifunctional, disulfide-linkedhexameric extracellular matrix glycoprotein expressed in association with mesenchymal epithelial interactions during development and in the neo-vasculature and stroma of undifferentiated tumors. In adults, it is restricted to certain epithelial-stromal interfaces and increases markedly in hyper-proliferative diseases and in stroma of many neoplasms, including gliomas, breast, squamous and lung carcinomas.

Product Properties & Targets

Antibody Type
Host
Mouse
Species Reactivity
Isotype / Light Chain
IgG1 / Kappa
Cellular Localization
Extracellular matrix, Extracellular space, Secreted
Gene Name
TNC
Positive Control
Extracellular matrix in tonsil and blood vessels. Stroma of many tumors such as breast, squamous cell and lung carcinomas. Staining of normal fibroblasts serves as internal positive control.
Immunogen
Human breast carcinoma
Alternate Names
Tenascin, Cytotactin, GMEM, GP 150-225, Glioma-associated-extracellular matrix antigen, Hexabrachion, JI, Myotendinous antigen, Neuronectin, Tenascin-C, Cytotactin; Glioma-associated-extracellular matrix antigen; GMEM; GP 150-225; Hexabrachion (HXB); JI; Myotendinous antigen; Neuronectin; TNC

Database Links

Entrez Gene ID
SwissProt

Additional Information

Clone
SPM319
Chromosome Location
9q33
Mol. Weight of Antigen
210kDa and 300kDa

Functions

  • Extracellular matrix protein implicated in guidance of migrating neurons as well as axons during development, synaptic plasticity as well as neuronal regeneration. Promotes neurite outgrowth from cortical neurons grown on a monolayer of astrocytes. Ligand for integrins alpha-8/beta-1, alpha-9/beta-1, alpha-V/beta-3 and alpha-V/beta-6. In tumors, stimulates angiogenesis by elongation, migration and sprouting of endothelial cells (PubMed:19884327).

Key References

  • Verstraeten AA, et. al. British Journal of Dermatology, 1992, 127(6):571-4.

Storage & Stability

Antibody with azide - store at 2 to 8°C. Antibody without azide - store at -20 to -80°C. Antibody is stable for 24 months. Non-hazardous. No MSDS required.

Limitations

This antibody is available for research use only and is not approved for use in diagnosis.

Supplied as

200ug/ml of Ab Purified from Bioreactor Concentrate by Protein A/G. Prepared in 10mM PBS with 0.05% BSA & 0.05% azide. Also available WITHOUT BSA & azide at 1.0mg/ml.

Warranty

There are no warranties, expressed or implied, which extend beyond this description. Company is not liable for any personal injury or economic loss resulting from this product.

Reviews

There are no reviews yet.

Be the first to review “Tenascin C (Stromal Marker for Epithelial Malignancy) Antibody”

Your email address will not be published. Required fields are marked *

PARTNERSHIP OPPORTUNITIES

NeoBiotechnologies holds Exclusive rights to 10,000 recombinant and hybridoma antibody products, available for Licensing or Collaboration.

LETS TALK