Recombinant SOX11 (Mantle Cell Lymphoma Marker) Antibody [SOX11/3235R]

In Stock
Catalog Number Formulation Size Price
6664-RBM5-P0
Purified Ab with BSA and Azide at 200ug/ml
20ug
$259.00
6664-RBM5-P1
Purified Ab with BSA and Azide at 200ug/ml
100ug
$559.00
6664-RBM5-P1ABX
Purified Ab WITHOUT BSA and Azide at 1.0mg/ml
100ug
$559.00
Flat Rate Domestic: $95 | Orders outside the US - Contact Us for Order Information | Ships next business day

Applications & Dilutions

Applications Tested Dillution Protocol Note
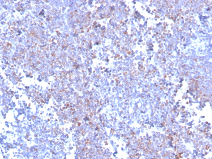
Immunohistochemistry (IHC)
1-2ug/ml
30 min at RT. Staining of formalin-fixed tissues requires heating tissue sections in 10mM Tris with 1mM EDTA, pH 9.0, for 45 min at 95°C followed by cooling at RT for 20 minutes

Summary

Recognizes a protein of ~47kDa, identified as SOX11. This MAb is highly specific and does not cross-react with other members of the SOX-family. Mantle cell lymphoma (MCL) accounts for 5% to 10% of mature B-cell neoplasms and is an aggressive disease genetically characterized by overexpression of Cyclin D1. Cyclin D1 overexpression is the hallmark of MCL. However, approximately 5%-10% of MCLs lack Cyclin D1 expression and may be misdiagnosed. Almost all Cyclin D1-positive as well as Cyclin D1-negative MCL, show overexpression of SOX-11. The detection of this transcription factor is a useful biomarker for identifying true cyclin D1-negative MCL.

Product Properties & Targets

Host
Rabbit
Applications
Species Reactivity
Research Areas
Isotype / Light Chain
IgG / Kappa
Cellular Localization
Nucleus
Gene Name
Positive Control
A431 or Y79 cells. Human cervix or mantle cell lymphoma (MCL).
Immunogen
Recombinant fragment (around aa300-400) of human SOX11 protein
Alternate Names
Transcription factor SOX-11, SOX11; SRY (sex determining region Y) box 11; SRY related HMG box gene 11; Transcription factor SOX-11

Database Links

Entrez Gene ID
SwissProt

Additional Information

Clone
SOX11/3235R
Chromosome Location
2p25
Mol. Weight of Antigen
47kDa

Functions

  • Transcription factor that acts as a transcriptional activator (PubMed:24886874). Binds cooperatively with POU3F2/BRN2 or POU3F1/OCT6 to gene promoters, which enhances transcriptional activation (By similarity). Acts as a transcriptional activator of TEAD2 by binding to its gene promoter and first intron (By similarity). Plays a redundant role with SOX4 and SOX12 in cell survival of developing tissues such as the neural tube, branchial arches and somites, thereby contributing to organogenesis (By similarity).

Key References

  • Osaki, E., et al. 1999. Identification of a novel SRY-related gene and its germ cell-specific expression. Nucleic Acids Res. 27: 2503-2510.

Storage & Stability

Antibody with azide - store at 2 to 8 °C. Antibody without azide - store at -20 to -80 °C. Antibody is stable for 24 months. Non-hazardous. No MSDS required.

Limitations

This antibody is available for research use only and is not approved for use in diagnosis.

Supplied as

200ug/ml of Ab purified from Bioreactor Concentrate by Protein A/G. Prepared in 10mM PBS with 0.05% BSA & 0.05% azide. Also available WITHOUT BSA & azide at 1.0mg/ml.

Warranty

There are no warranties, expressed or implied, which extend beyond this description. Company is not liable for any personal injury or economic loss resulting from this product.

Reviews

There are no reviews yet.

Be the first to review “Recombinant SOX11 (Mantle Cell Lymphoma Marker) Antibody”

Your email address will not be published. Required fields are marked *

PARTNERSHIP OPPORTUNITIES

NeoBiotechnologies holds Exclusive rights to 10,000 recombinant and hybridoma antibody products, available for Licensing or Collaboration.

LETS TALK