SIGLEC10 Antibody [SIGLEC10/7583]

In Stock
Catalog Number Formulation Size Price
89790-MSM3-P0
Purified Ab with BSA and Azide at 200ug/ml
20ug
$259.00
89790-MSM3-P1
Purified Ab with BSA and Azide at 200ug/ml
100ug
$559.00
89790-MSM3-P1ABX
Purified Ab WITHOUT BSA and Azide at 1.0mg/ml
100ug
$559.00
Flat Rate Domestic: $95 | Orders outside the US - Contact Us for Order Information | Ships next business day

Applications & Dilutions

Applications Tested Dillution Protocol Note
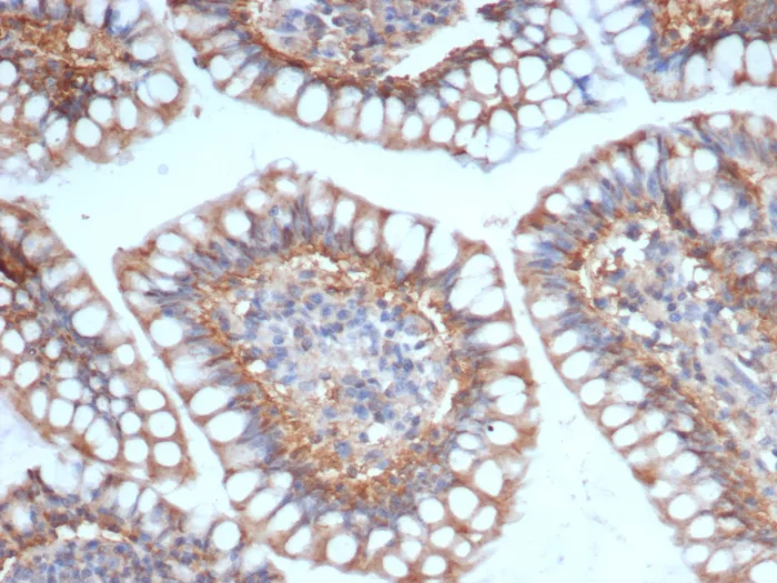
Immunohistochemistry (IHC)
1-2ug/ml
30 min at RT. Staining of formalin-fixed tissues requires heating tissue sections in 10mM Tris with 1mM EDTA, pH 9.0, for 45 min at 95°C followed by cooling at RT for 20 minutes

Summary

Siglec-10 (sialic acid-binding Ig-like lectin 10) is a 697 amino acid protein belonging to the immunoglobulin superfamily. The N-terminal Ig-like domain of Siglec-10 contains a sialic acid-binding site and the C-terminal cytoplasmic region of Siglec-10 contains two immunoreceptor tyrosine-based inhibitor motifs (ITIMs), which are involved in the modulation of cellular responses through SH2 domains. With most expression in spleen, bone marrow and peripheral blood lymphocytes, such as monocytes, natural killer cells and eosinophils, it is likely that Siglec-10 functions as an inhibitory receptor in the immune response. Importantly, Siglec-10 mRNA is found to be highly upregulated in eosinophils at sites of inflammation in asthmatics, suggesting that Siglec-10 may be an appropriate target for new approaches of immunomodulatory therapy. There are six named isoforms of Siglec-10 that are a result of alternative splicing. All isoforms exists as single-pass transmembrane proteins, except for isoform 6, which is secreted.

Product Properties & Targets

Antibody Type
Host
Mouse
Applications
Species Reactivity
Research Areas
Isotype / Light Chain
IgG2 / Kappa
Cellular Localization
Cell surface. Secreted.
Gene Name
Positive Control
Expressed by peripheral blood leukocytes (eosinophils|lung|monocytes and a natural killer cell subpopulation). Isoform 5 is found in lymph node|ovary and appendix. Isoform 1 is found at high levels and isoform 2 at lower levels in bone marrow|spleen a
Immunogen
Recombinant fragment (around aa500-697) of human SIGLEC10 protein (exact sequence is proprietary)
Alternate Names
Sialic acid-binding Ig-like lectin 10, Siglec-like protein 2, mSiglec G; PRO940; sialic acid binding Ig like lectin 10 Ig like lectin 7; Sialic acid binding Immunoglobulin like lectin 10; Siglec G; siglec like gene 2; Siglec like protein 2; Siglecg; SLG2

Database Links

Entrez Gene ID
SwissProt

Additional Information

Clone
SIGLEC10/7583
Chromosome Location
17q21.33
Mol. Weight of Antigen
77kDa

Functions

  • Putative adhesion molecule that mediates sialic-acid dependent binding to cells. Preferentially binds to alpha-2, 3- or alpha-2, 6-linked sialic acid (By similarity). The sialic acid recognition site may be masked by cis interactions with sialic acids on the same cell surface. In the immune response, seems to act as an inhibitory receptor upon ligand induced tyrosine phosphorylation by recruiting cytoplasmic phosphatase(s) via their SH2 domain(s) that block signal transduction through dephosphorylation of signaling molecules (PubMed:11284738, PubMed:12163025). Involved in negative regulation of B-cell antigen receptor signaling. The inhibition of B cell activation is dependent on PTPN6/SHP-1 (By similarity). In association with CD24 may be involved in the selective suppression of the immune response to danger-associated molecular patterns (DAMPs) such as HMGB1, HSP70 and HSP90 (By similarity). In association with CD24 may regulate the immune repsonse of natural killer (NK) cells (PubMed:25450598). Plays a role in the control of autoimmunity (By similarity). During initiation of adaptive immune responses by CD8-alpha(+) dendritic cells inhibits cross-presentation by impairing the formation of MHC class I-peptide complexes. The function seems to implicate recruitment of PTPN6/SHP-1, which dephosphorylates NCF1 of the NADPH oxidase complex consequently promoting phagosomal acidification (By similarity).

Key References

  • Whitney, G., et al, M. 2001. A new siglec family member, Siglec-10, is expressed in cells of the immune system and has signaling properties similar to CD33. Eur. J. Biochem. 268: 6083-6096.

Storage & Stability

Antibody with azide - store at 2 to 8°C. Antibody without azide - store at -20 to -80°C. Antibody is stable for 24 months. Non-hazardous. No MSDS required.

Limitations

This antibody is available for research use only and is not approved for use in diagnosis.

Supplied as

200ug/ml of Ab purified from Bioreactor Concentrate by Protein A/G. Prepared in 10mM PBS with 0.05% BSA & 0.05% azide. Also available WITHOUT BSA & azide at 1.0mg/ml.

Warranty

There are no warranties, expressed or implied, which extend beyond this description. Company is not liable for any personal injury or economic loss resulting from this product.

Reviews

There are no reviews yet.

Be the first to review “SIGLEC10 Antibody”

Your email address will not be published. Required fields are marked *

PARTNERSHIP OPPORTUNITIES

NeoBiotechnologies holds Exclusive rights to 10,000 recombinant and hybridoma antibody products, available for Licensing or Collaboration.

LETS TALK