SDHA (Succinate Dehydrogenase Complex Flavoprotein Subunit A) Antibody [SDHA/7491]

In Stock
Catalog Number Formulation Size Price
6389-MSM1-P0
Purified Ab with BSA and Azide at 200ug/ml
20ug
$259.00
6389-MSM1-P1
Purified Ab with BSA and Azide at 200ug/ml
100ug
$559.00
6389-MSM1-P1ABX
Purified Ab WITHOUT BSA and Azide at 1.0mg/ml
100ug
$559.00
Flat Rate Domestic: $95 | Orders outside the US - Contact Us for Order Information | Ships next business day

Applications & Dilutions

Applications Tested Dillution Protocol Note
Immunohistochemistry (IHC)
1-2ug/ml
30 min at RT. Staining of formalin-fixed tissues requires heating tissue sections in 10mM Tris with 1mM EDTA, pH 9.0, for 45 min at 95°C followed by cooling at RT for 20 minutes

Summary

In aerobic respiration reactions, succinate dehydrogenase (SDH) catalyzes the oxidation of succinate and ubiquinone to fumarate and ubiquinol. Four subunits comprise the SDH protein complex: a flavochrome subunit (SDHA), an iron-sulfur protein (SDHB) and two membrane-bound subunits (SDHC and SDHD) anchored to the inner mitochondrial membrane. Mutations to these subunits cause mitochondrial dysfunction, corresponding to several distinct disorders. Mutations in the membrane bound components may cause hereditary paraganglioma, while SDHA mutations are associated with juvenile encephalopathy as well as Leigh syndrome, a severe neurological disorder. Inactivating mutations in SDHB correlate with inherited, but not necessarily sporadic, cases of pheochromocytoma.

Product Properties & Targets

Antibody Type
Host
Mouse
Applications
Species Reactivity
Isotype / Light Chain
IgG2 / Kappa
Cellular Localization
Mitochondrion inner membrane.
Gene Name
Positive Control
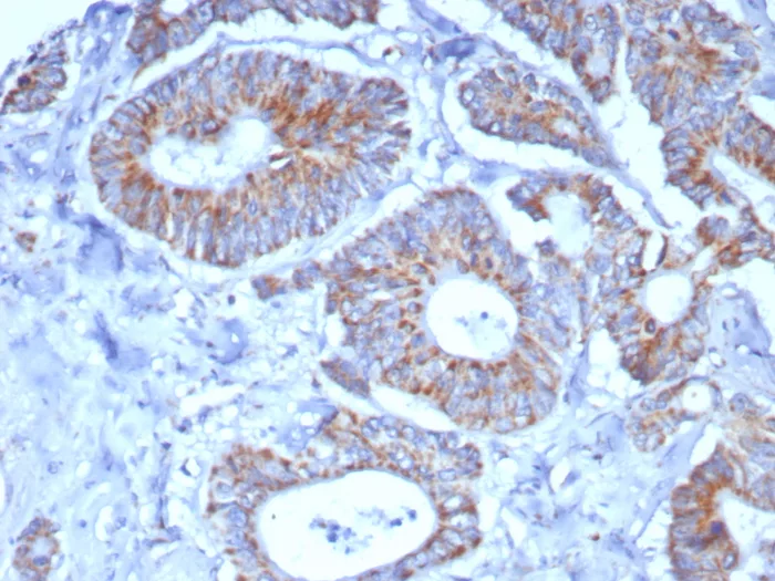
colon|Expressed strongly in small intestine. Also expressed in prostate|stomach and salivary gland.
Immunogen
Recombinant fragment (around aa 450-650) of human SDHA protein (exact sequence is proprietary)
Alternate Names
Succinate dehydrogenase [ubiquinone] flavoprotein subunit, mitochondrial, Flavoprotein subunit of complex II, CMD1GG; Flavoprotein subunit of complex II; Fp; PGL5; SDH1; SDH2; SDHF; Succinate dehydrogenase [ubiquinone] flavoprotein subunit, mitochondrial; Succinate dehydrogenase complex flavoprotein subunit precursor

Database Links

Entrez Gene ID
SwissProt

Additional Information

Clone
SDHA/7491
Chromosome Location
5p15.33
Mol. Weight of Antigen
70kDa

Functions

  • Flavoprotein (FP) subunit of succinate dehydrogenase (SDH) that is involved in complex II of the mitochondrial electron transport chain and is responsible for transferring electrons from succinate to ubiquinone (coenzyme Q) (PubMed:24781757). Can act as a tumor suppressor (PubMed:20484225).

Key References

  • Spencer, M.E., et al. 1974. Proteins of the inner membrane of Escherichia coli: identification of succinate dehydrogenase by polyacrylamide gel electrophoresis with SDH amber mutants. J. Bacteriol. 117: 947-953.

Storage & Stability

Antibody with azide - store at 2 to 8°C. Antibody without azide - store at -20 to -80°C.Antibody is stable for 24 months. Non-hazardous. No MSDS required.

Limitations

This antibody is available for research use only and is not approved for use in diagnosis.

Supplied as

200ug/ml of Ab purified from Bioreactor Concentrate by Protein A/G. Prepared in 10mM PBS with 0.05% azide. Also available WITHOUT azide at 1.0mg/ml.

Warranty

There are no warranties, expressed or implied, which extend beyond this description. Company is not liable for any personal injury or economic loss resulting from this product.

Reviews

There are no reviews yet.

Be the first to review “SDHA (Succinate Dehydrogenase Complex Flavoprotein Subunit A) Antibody”

Your email address will not be published. Required fields are marked *

PARTNERSHIP OPPORTUNITIES

NeoBiotechnologies holds Exclusive rights to 10,000 recombinant and hybridoma antibody products, available for Licensing or Collaboration.

LETS TALK