
SDS-PAGE Analysis of Purified S100G Mouse Monoclonal Antibody (S100G/7516). Confirmation of Purity and Integrity of Antibody.

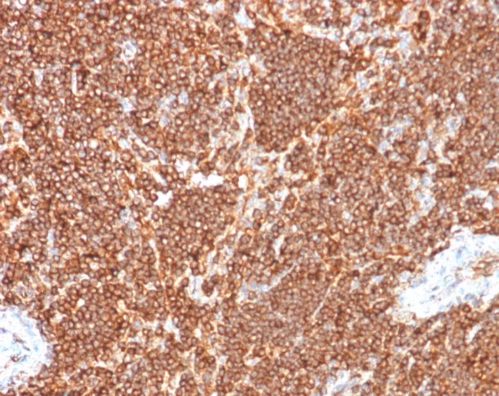
Formalin-fixed, paraffin-embedded human spleen stained with S100G Mouse Monoclonal Antibody (S100G/7516). Inset: PBS instead of primary antibody; secondary only negative control.
Calgizzarin is a Ca2+-binding protein of the S100 family. The proteins comprising the S-100 protein family have two EF-hand structures per molecule of protein. Expression of these family members occurs primarily in neurons or retinal photoreceptor cells, and may also be involved in a wide variety of cellular functions including cell growth, cell-cell communication, energy metabolism and intracellular signal transduction. They have also been linked to various pathologies, including Alzheimer s disease, schizophrenia and cancer. Calgizzarin is highly expressed in lung tissue and is also expressed in kidney, liver, brain, heart and smooth muscle. It is an important androgen-responsive protein produced by Sertoli cells and might play a role in spermatogenesis regulation.
There are no reviews yet.