
Western Blot Analysis of HeLa lysate using S100A4 Mouse Monoclonal Antibody (S100A4/6797).

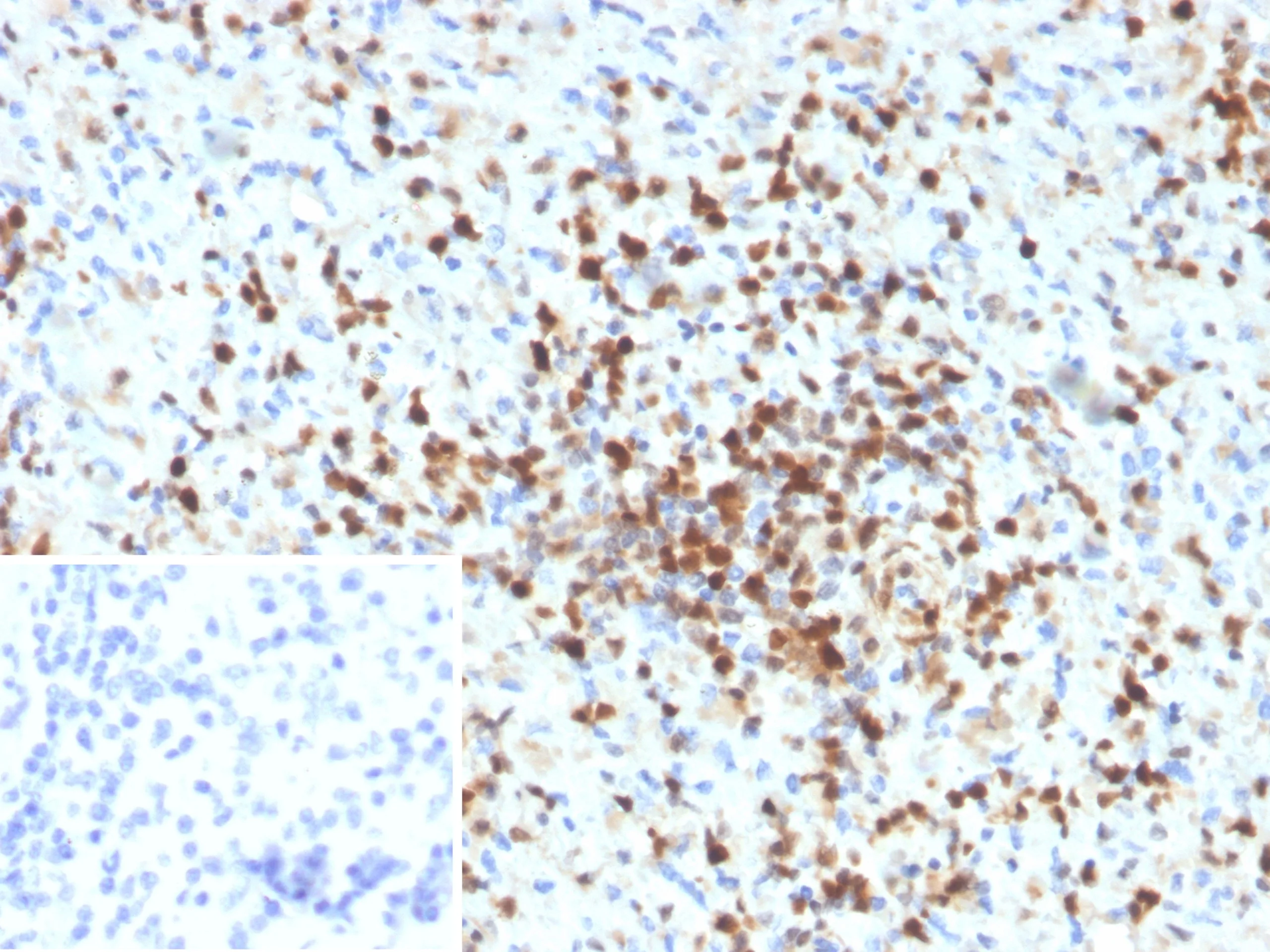
Formalin-fixed, paraffin-embedded human spleen stained with S100A4 Mouse Monoclonal Antibody (S100A4/6797). Inset: PBS instead of primary antibody; secondary only negative control.
S100A4 belongs to the S100 super-family of proteins containing 2 EF-hand calcium-binding domains. S100 genes include at least 25 members, including S100A1-S100A18, trichohyalin, filaggrin, repetin, S100P, and S100Z. S100A4 exerts its function via direct interaction with a number of proteins including P53, P63, non-muscle myosin IIA, α6β4 integrin, and liprin b1. S100A4 is overexpressed in highly metastatic cancers, which makes it useful as a marker of tumor progression.
There are no reviews yet.