RET Proto-oncogene Antibody [RET/8789]

In Stock
Catalog Number Formulation Size Price
5979-MSM14-P0
Purified Ab with BSA and Azide at 200ug/ml
20ug
$259.00
5979-MSM14-P1
Purified Ab with BSA and Azide at 200ug/ml
100ug
$559.00
5979-MSM14-P1ABX
Purified Ab WITHOUT BSA and Azide at 1.0mg/ml
100ug
$559.00
Flat Rate Domestic: $95 | Orders outside the US - Contact Us for Order Information | Ships next business day

Applications & Dilutions

Applications Tested Dillution Protocol Note
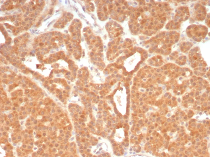
Immunohistochemistry (IHC)
1-2ug/ml
30 min at RT. Staining of formalin-fixed tissues requires heating tissue sections in 10mM Tris with 1mM EDTA, pH 9.0, for 45 min at 95°C followed by cooling at RT for 20 minutes

Summary

The Ret proto-oncogene is structurally related to the growing family of tyrosine kinase transmembrane receptors and is involved in GDNF signaling. RET expression is reported in several regions of the central nervous system; in the developing cranial nerve ganglia and a subset of cells within dorsal root ganglia, in motor neurons in the spinal cord and hindbrain, in neuro-retina and the growing tips of the renal collecting ducts in developing kidney.Alterations in RET �gene are associated with diseases including papillary thyroid carcinoma, multiple endocrine neoplasia (type 2A and 2B), familial medullary thyroid carcinoma, and a congenital developmental disorder known as Hirschsprung s disease.

Product Properties & Targets

Antibody Type
Host
Mouse
Applications
Species Reactivity
Isotype / Light Chain
IgG2c / Kappa
Cellular Localization
Membrane.
Gene Name
RET
Positive Control
colon or prostate carcinoma.|Human breast
Immunogen
Recombinant fragment (around aa 702-848) of human RET protein (exact sequence is proprietary)
Alternate Names
Proto-oncogene tyrosine-protein kinase receptor Ret | Soluble RET kinase fragment | Extracellular cell-membrane anchored RET cadherin 120 kDa fragment, Cadherin family member 12, Proto-oncogene c-Ret, Cadherin family member 12 (CDHF12); Cadherin related family member 16 (CDHR16); ELKS; HSCR1; Hydroxyaryl protein kinase; MEN2A; MEN2B; MTC1; Multiple endocrine neoplasia and medullary thyroid carcinoma 1; Oncogene RET; Proto-oncogene c-Ret; Proto-oncogene tyrosine-protein kinase receptor ret; PTC; RET; RET ELE1; RET51; RET9

Database Links

Entrez Gene ID
SwissProt

Additional Information

Clone
RET/8789
Chromosome Location
10q11.21
Mol. Weight of Antigen
150kDa (precursor); 170kDa (Mature)

Functions

  • Receptor tyrosine-protein kinase involved in numerous cellular mechanisms including cell proliferation, neuronal navigation, cell migration, and cell differentiation upon binding with glial cell derived neurotrophic factor family ligands. Phosphorylates PTK2/FAK1. Regulates both cell death/survival balance and positional information. Required for the molecular mechanisms orchestration during intestine organogenesis; involved in the development of enteric nervous system and renal organogenesis during embryonic life, and promotes the formation of Peyer's patch-like structures, a major component of the gut-associated lymphoid tissue. Modulates cell adhesion via its cleavage by caspase in sympathetic neurons and mediates cell migration in an integrin (e.g. ITGB1 and ITGB3)-dependent manner. Involved in the development of the neural crest. Active in the absence of ligand, triggering apoptosis through a mechanism that requires receptor intracellular caspase cleavage. Acts as a dependence receptor; in the presence of the ligand GDNF in somatotrophs (within pituitary), promotes survival and down regulates growth hormone (GH) production, but triggers apoptosis in absence of GDNF. Regulates nociceptor survival and size. Triggers the differentiation of rapidly adapting (RA) mechanoreceptors. Mediator of several diseases such as neuroendocrine cancers; these diseases are characterized by aberrant integrins-regulated cell migration. Mediates, through interaction with GDF15-receptor GFRAL, GDF15-induced cell-signaling in the brainstem which induces inhibition of food-intake. Activates MAPK- and AKT-signaling pathways (PubMed:28846097, PubMed:28953886, PubMed:28846099). Isoform 1 in complex with GFRAL induces higher activation of MAPK-signaling pathway than isoform 2 in complex with GFRAL (PubMed:28846099).

Key References

  • Airaksinen, M.S. et al. (1999)Mol Cell Neurosci13, 313-25.

PubMed Links

Storage & Stability

Antibody with azide - store at 2 to 8°C. Antibody without azide - store at -20 to -80°C.Antibody is stable for 24 months. Non-hazardous. No MSDS required.

Limitations

This antibody is available for research use only and is not approved for use in diagnosis.

Supplied as

200ug/ml of Ab purified from Bioreactor Concentrate by Protein A/G. Prepared in 10mM PBS with 0.05% BSA & 0.05% azide. Also available WITHOUT BSA & azide at 1.0mg/ml.

Warranty

There are no warranties, expressed or implied, which extend beyond this description. Company is not liable for any personal injury or economic loss resulting from this product.

Reviews

There are no reviews yet.

Be the first to review “RET Proto-oncogene Antibody”

Your email address will not be published. Required fields are marked *

PARTNERSHIP OPPORTUNITIES

NeoBiotechnologies holds Exclusive rights to 10,000 recombinant and hybridoma antibody products, available for Licensing or Collaboration.

LETS TALK