
Western blot analysis of A-431 cell lysate using Cytokeratin 14 Recombinant Rabbit Monoclonal Antibody (KRT14/7977R).

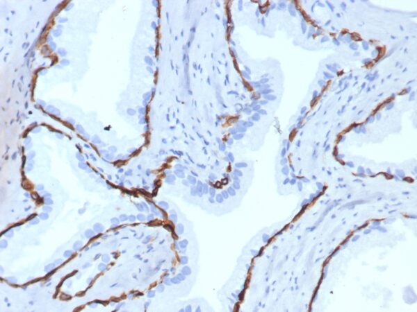
Formalin-fixed, paraffin-embedded human prostate stained with Cytokeratin 14 Recombinant Rabbit Monoclonal Antibody (KRT14/7977R). Inset: PBS instead of primary antibody; secondary only negative control.

SDS-PAGE Analysis of Purified Cytokeratin 14 Recombinant Rabbit Monoclonal Antibody (KRT14/7977R). Confirmation of Purity and Integrity of Antibody.
Cytokeratin 14 is a member of the type I keratin family of intermediate filament proteins. It always pairs with the type II keratin K5 and form the primary keratin pair of the keratinocytes of stratified squamous epithelia, including the epidermis as well as mucosal non-keratinizing stratified squamous epithelia.Cytokeratin 14 is strongly expressed in the undifferentiated basal cell layer containing the stem cells and are down-regulated in the differentiating suprabasal cell layers. Otherwise, in the widely well stratified follicular outer root sheath, cytokeratin 14 is uniformly expressed throughout all layers. The expression spectrum of cytokeratin 14 in tumors corresponds well to the patterns in normal epithelia. Thus, most squamous cell carcinomas as well as malignant mesotheliomas strongly express this keratin whereas little, focal, or no expression is found in adenocarcinomas.Cytokeratin 14 may be a useful marker in the differential diagnosis of squamous cell carcinoma from other epithelial tumors. Recent studies also indicate that CK14 expression in breast cancer corresponded with poor clinical outcome and that CK14 may have diagnostic value in the sub-classification of NSCLC.
There are no reviews yet.