
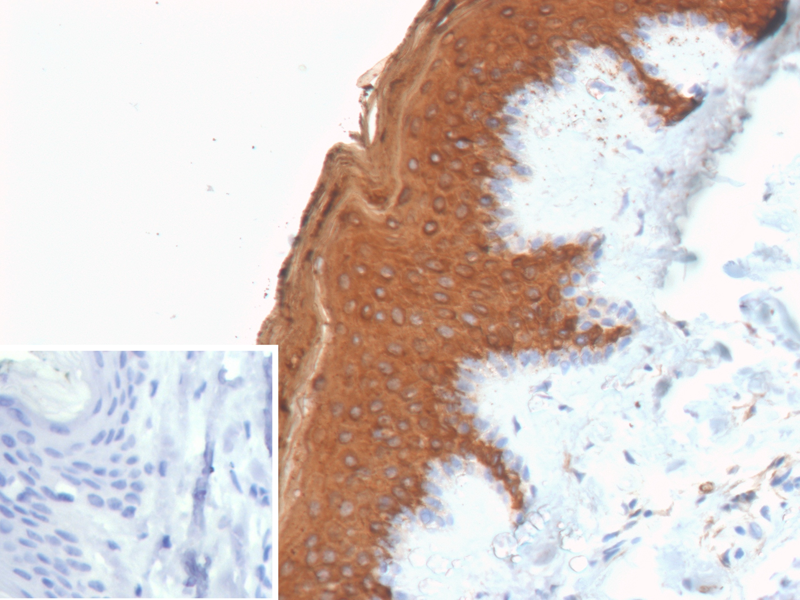
Formalin-fixed, paraffin-embedded human skin stained with Cytokeratin 10 Recombinant Rabbit Monoclonal Antibody (KRT10/9605R). Inset: PBS instead of primary antibody; secondary only negative control.

Western blot analysis of A-431 cell lysate using Cytokeratin 10 Recombinant Rabbit Monoclonal Antibody (KRT10/9605R).
This MAb recognizes a protein of 56.5kDa, identified as cytokeratin 10 (CK10). CK10 is expressed in all suprabasal layers of the epidermis. In the epidermis, expression of CK10 strictly parallels the extent of differentiation; it is absent in the basal layer, appears in the first suprabasal layers and increases in concentration towards the granular layer. However, CK10 is rarely detected in early stages of vulvar squamous carcinomas (tumors less than 2 cm, clinical stage I) regardless of the tumor grade. In larger and more advanced tumors (greater than 2 cm, clinical stages II and III), CK10 is detected very frequently. Expression of CK10 is related to maturation of malignant keratinocytes, being preferentially detected in more-differentiated parts.
There are no reviews yet.