
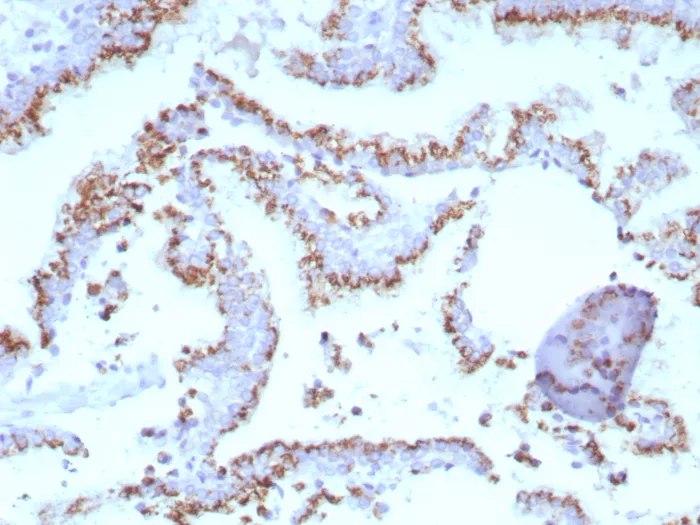
Formalin-fixed, paraffin-embedded human prostate stained with Prostein (p501S) Mouse Monoclonal Antibody (SLC45A3/7647). HIER: Tris/EDTA, pH9.0, 45min. 2°C: HRP-polymer, 30min. DAB, 5min.
Human prostein is a 553 aa protein identified by cDNA library subtraction and subsequent high � throughput microarray screening of prostate cancer. Prostein has multiple transmembrane domains. Prostein has been shown to be uniquely expressed in normal and cancerous prostatic tissues. By immunohistochemistry, prostein is expressed in the vast majority of normal and malignant prostatic tissues, regardless of grade and metastatic status. No protein expression is detected in normal and malignant tissue samples representing the great majority of essential tissues and tumors. In particular, prostein is expressed in most of poorly differentiated prostatic carcinoma, including small cell prostate carcinoma. Prostein is more specific and sensitive for prostatic carcinomas than PSA and PSAP.
There are no reviews yet.