Recombinant Prostein (p501S) / Solute Carrier Family 45 Member 3 (SLC45A3) Antibody [SLC45A3/4965R]

In Stock
Catalog Number Formulation Size Price
85414-RBM5-P0
Purified Ab with BSA and Azide at 200ug/ml
20ug
$259.00
85414-RBM5-P1
Purified Ab with BSA and Azide at 200ug/ml
100ug
$559.00
85414-RBM5-P1ABX
Purified Ab WITHOUT BSA and Azide at 1.0mg/ml
100ug
$559.00
Flat Rate Domestic: $95 | Orders outside the US - Contact Us for Order Information | Ships next business day

Applications & Dilutions

Applications Tested Dillution Protocol Note
Immunohistochemistry (IHC)
1-2ug/ml
30 min at RT. Staining of formalin-fixed tissues requires heating tissue sections in 10mM Tris with 1mM EDTA, pH 9.0, for 45 min at 95°C followed by cooling at RT for 20 minutes

Summary

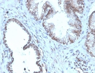
Human prostein is a 553 aa protein identified by cDNA library subtraction and subsequent high throughput microarray screening of prostate cancer. Prostein has multiple transmembrane domains. Prostein has been shown to be uniquely expressed in normal and cancerous prostatic tissues. By immunohistochemistry, prostein is expressed in the vast majority of normal and malignant prostatic tissues, regardless of grade and metastatic status. No protein expression is detected in normal and malignant tissue samples representing the great majority of essential tissues and tumors. In particular, prostein is expressed in most of poorly differentiated prostatic carcinoma, including small cell prostate carcinoma. Prostein is more specific and sensitive for prostatic carcinomas than PSA and PSAP.

Product Properties & Targets

Host
Rabbit
Applications
Species Reactivity
Research Areas
Isotype / Light Chain
IgG / Kappa
Cellular Localization
Membrane
Gene Name
Positive Control
Normal prostate or prostate carcinoma.
Immunogen
Synthesized peptides to the N terminus of human SLC45A3 (prostein) protein
Alternate Names
Solute carrier family 45 member 3, Prostate cancer-associated protein 6, Prostein, IPCA 2; IPCA 8; IPCA6; Prostate cancer associated gene / protein 2 (PCANAP2); Prostate cancer associated gene / protein 6 (PCANAP6); Prostate cancer associated gene / protein 8 (PCANAP8);

Database Links

Entrez Gene ID
SwissProt

Additional Information

Clone
SLC45A3/4965R
Chromosome Location
1q32.1
Mol. Weight of Antigen
59kDa

Storage & Stability

Antibody with azide - store at 2 to 8 °C. Antibody without azide - store at -20 to -80 °C. Antibody is stable for 24 months. Non-hazardous. No MSDS required.

Limitations

This antibody is available for research use only and is not approved for use in diagnosis.

Supplied as

200ug/ml of Ab purified from Bioreactor Concentrate by Protein A/G. Prepared in 10mM PBS with 0.05% BSA & 0.05% azide. Also available WITHOUT BSA & azide at 1.0mg/ml.

Warranty

There are no warranties, expressed or implied, which extend beyond this description. Company is not liable for any personal injury or economic loss resulting from this product.

Reviews

There are no reviews yet.

Be the first to review “Recombinant Prostein (p501S) / Solute Carrier Family 45 Member 3 (SLC45A3) Antibody”

Your email address will not be published. Required fields are marked *

PARTNERSHIP OPPORTUNITIES

NeoBiotechnologies holds Exclusive rights to 10,000 recombinant and hybridoma antibody products, available for Licensing or Collaboration.

LETS TALK