
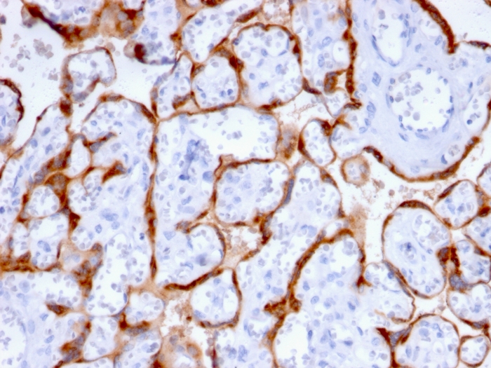
Formalin-fixed, paraffin-embedded human Placenta stained with PAPP-A Mouse Monoclonal Antibody (PAPPA/2715).

Formalin-fixed, paraffin-embedded human Placenta stained with PAPP-A Mouse Monoclonal Antibody (PAPPA/2715).

SDS-PAGE Analysis of Purified PAPP-A Mouse Monoclonal Antibody (PAPPA/2715). Confirmation of Purity and Integrity of Antibody.

Analysis of Protein Array containing more than 19,000 full-length human proteins using PAPP-A Mouse Monoclonal Antibody (PAPPA/2715) Z- and S- Score: The Z-score represents the strength of a signal that a monoclonal antibody (MAb) (in combination with a fluorescently-tagged anti-IgG secondary antibody) produces when binding to a particular protein on the HuProtTM array. Z-scores are described in units of standard deviations (SD's) above the mean value of all signals generated on that array. If targets on HuProtTM are arranged in descending order of the Z-score, the S-score is the difference (also in units of SD's) between the Z-score. S-score therefore represents the relative target specificity of a MAb to its intended target. A MAb is considered to specific to its intended target, if the MAb has an S-score of at least 2.5. For example, if a MAb binds to protein X with a Z-score of 43 and to protein Y with a Z-score of 14, then the S-score for the binding of that MAb to protein X is equal to 29.
Pregnancy Associated Plasma Protein (PAPP-A) is found in maternal blood that increases as pregnancy progresses, although it is not specific to pregnancy. It is principally expressed in the syncytiotrophoblast of the placenta, which forms the main source of circulating maternal PAPP-A. It cleaves insulin-like growth factor binding proteins (IGFBPs), IGFBP-4 and IGFBP-5. IGFBP-4 cleavage is enhanced significantly in the presence of bound IGF, whereas IGFBP-5 cleavage is inhibited slightly by IGF presence. It is thought to be involved in local proliferative processes such as wound healing and bone remodeling. Low plasma level of this protein has been suggested as a biochemical marker for pregnancies with aneuploid fetuses. PAPPA has also been suggested as a potential biomarker of acute myocardial infarction and Coronary Artery Disease (CAD).
There are no reviews yet.