
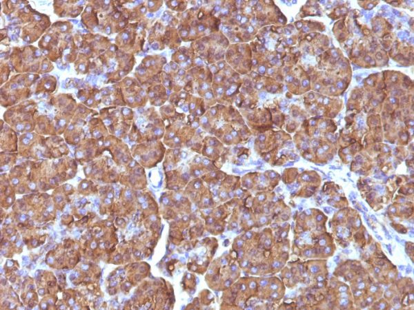
Formalin-fixed, paraffin-embedded Rat Pancreas stained with ODC1 Mouse Monoclonal Antibody (ODC1/486).

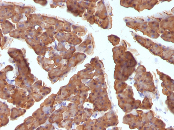
Formalin-fixed, paraffin-embedded human Pancreas stained with ODC1 Mouse Monoclonal Antibody (ODC1/486).

Formalin-fixed, paraffin-embedded Mouse Pancreas stained with ODC1 Mouse Monoclonal Antibody (ODC1/486).
Recognizes a 53kDa protein, identified as the Ornithine Decarboxylase (ODC-1). ODC is the initial and rate-limiting enzyme in the biosynthetic pathway of polyamines and is involved in the conversion of ornithine to putrescine. The biological activity of ODC-1 is rapidly induced in response to virtually all agents known to promote cell proliferation including hormones, drugs, growth factors, mitogens, and tumor promoters. Reportedly, ODC mRNA levels are elevated in lung carcinomas as well as in colon adenomas and carcinomas. ODC activity in colorectal carcinomas is greater than those in adenomas and normal mucosa.
There are no reviews yet.