
Formalin-fixed, paraffin-embedded human Tonsil stained with Oct-2 Mouse Monoclonal Antibody (OCT2/2136).

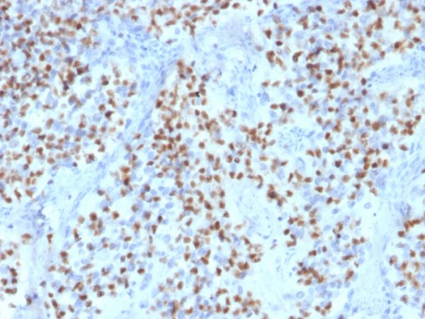
Formalin-fixed, paraffin-embedded human Lymph Node stained with Oct-2 Mouse Monoclonal Antibody (OCT2/2136).

SDS-PAGE Analysis of Purified Oct-2 Mouse Monoclonal Antibody (OCT2/2136). Confirmation of Purity and Integrity of Antibody.

Analysis of Protein Array containing more than 19,000 full-length human proteins using Oct-2 Mouse Monoclonal Antibody (OCT2/2136) Z- and S- Score: The Z-score represents the strength of a signal that a monoclonal antibody (MAb) (in combination with a fluorescently-tagged anti-IgG secondary antibody) produces when binding to a particular protein on the HuProtTM array. Z-scores are described in units of standard deviations (SD's) above the mean value of all signals generated on that array. If targets on HuProtTM are arranged in descending order of the Z-score, the S-score is the difference (also in units of SD's) between the Z-score. S-score therefore represents the relative target specificity of a MAb to its intended target. A MAb is considered to specific to its intended target, if the MAb has an S-score of at least 2.5. For example, if a MAb binds to protein X with a Z-score of 43 and to protein Y with a Z-score of 14, then the S-score for the binding of that MAb to protein X is equal to 29.
Oct-2 is a transcription factor of the POU homeo-domain family that binds to the Ig gene octamer sites, regulating B-cell-specific genes. Oct-2 expression can be used as a marker of B-cell lineage and differentiation. Germinal center B-cells, mantle B-cells, monocytoid B-cells, and plasma cells show high level expression of Oct-2. Additionally, mantle cell lymphoma, follicular lymphoma, marginal zone lymphoma, plasmacytoma, Burkitt lymphoma, diffuse large cell lymphoma, diffuse large B-cell lymphoma, Hodgkin lymphoma display increased expression of Oct-2. Several studies of Oct-2 expression have shown a low level expression in pre-B, T-cell, myelomonocytic, and epithelial cell lines, whereas all mature B-cell lines have high levels of expression. In spite of scanty evidence for Oct-2 expression in T cells, it is believed that this factor participates in transcriptional regulation during T-cell activation.
There are no reviews yet.