Recombinant NUT1 / NUTM1 / Snurportin 1 Antibody [SNUPN/7351R]

In Stock
Catalog Number Formulation Size Price
10073-RBM1-P0
Purified Ab with BSA and Azide at 200ug/ml
20ug
$259.00
10073-RBM1-P1
Purified Ab with BSA and Azide at 200ug/ml
100ug
$559.00
10073-RBM1-P1ABX
Purified Ab WITHOUT BSA and Azide at 1.0mg/ml
100ug
$559.00
Flat Rate Domestic: $95 | Orders outside the US - Contact Us for Order Information | Ships next business day

Applications & Dilutions

Applications Tested Dillution Protocol Note
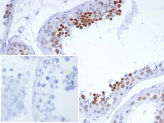
Immunohistochemistry (IHC)
1-2ug/ml
30 min at RT. Staining of formalin-fixed tissues requires heating tissue sections in 10mM Tris with 1mM EDTA, pH 9.0, for 45 min at 95°C followed by cooling at RT for 20 minutes

Summary

NUTM1 (NUT Midline Carcinoma Family Member 1) is a Protein Coding gene. Diseases associated with NUTM1 include Nut Midline Carcinoma and Spindle Cell Sarcoma. Among its related pathways are Chromatin Regulation / Acetylation. An important paralog of this gene is NUTM2G.Plays a role in the regulation of proliferation. Regulates TERT expression by modulating SP1 binding to TERT promoter binding sites.

Product Properties & Targets

Host
Rabbit
Applications
Species Reactivity
Isotype / Light Chain
IgG / Kappa
Cellular Localization
Nucleus. Cytoplasm.
Gene Name
Positive Control
Human testis.
Immunogen
Recombinant fragment (around aa 900-1100) of human NUTM1 protein (exact sequence is proprietary)
Alternate Names
NUT family member 1, Nuclear protein in testis, NUT; Nuclear Protein in Testis; C15orf55; FAM22H; NUT Family Member 1; DKFZp434O192; Chromosome 15 Open Reading Frame 55

Database Links

Entrez Gene ID
SwissProt

Additional Information

Clone
SNUPN/7351R
Chromosome Location
15q24.2
Mol. Weight of Antigen
120kDa

Functions

  • Plays a role in the regulation of proliferation. Regulates TERT expression by modulating SP1 binding to TERT promoter binding sites.

Key References

  • Luo, W., et al.NUTM1-Rearranged NeoplasmsA Heterogeneous Group of Primitive Tumors with Expanding Spectrum of Histology and Molecular AlterationsAn Updated Review.Curr. Oncol.2021,28, 4485-4503. https://doi.org/10.3390/curroncol28060381

Storage & Stability

Antibody with azide - store at 2 to 8°C. Antibody without azide - store at -20 to -80°C. Antibody is stable for 24 months. Non-hazardous. No MSDS required.

Limitations

This antibody is available for research use only and is not approved for use in diagnosis.

Supplied as

200ug/ml of Ab purified from Bioreactor Concentrate by Protein A/G. Prepared in 10mM PBS with 0.05% BSA & 0.05% azide. Also available WITHOUT BSA & azide at 1.0mg/ml.

Warranty

There are no warranties, expressed or implied, which extend beyond this description. Company is not liable for any personal injury or economic loss resulting from this product.

Reviews

There are no reviews yet.

Be the first to review “Recombinant NUT1 / NUTM1 / Snurportin 1 Antibody”

Your email address will not be published. Required fields are marked *

PARTNERSHIP OPPORTUNITIES

NeoBiotechnologies holds Exclusive rights to 10,000 recombinant and hybridoma antibody products, available for Licensing or Collaboration.

LETS TALK