NKX2.2 (Neuroendocrine & Ewing Sarcoma Marker) Antibody [SPM564]

In Stock
Catalog Number Formulation Size Price
4821-MSM1X-P0
Purified Ab with BSA and Azide at 200ug/ml
20ug
$259.00
4821-MSM1X-P1
Purified Ab with BSA and Azide at 200ug/ml
100ug
$559.00
4821-MSM1X-P1ABX
Purified Ab WITHOUT BSA and Azide at 1.0mg/ml
100ug
$559.00
Flat Rate Domestic: $95 | Orders outside the US - Contact Us for Order Information | Ships next business day

Applications & Dilutions

Applications Tested Dillution Protocol Note
Flow Cytometry (Flow)
1-2ug/million cells
Immunofluorescence (IF)
1-3ug/ml
Immunohistochemistry (IHC)
1-2ug/ml
30 min at RT. Staining of formalin-fixed tissues requires heating tissue sections in 10mM Tris with 1mM EDTA, pH 9.0, for 45 min at 95°C followed by cooling at RT for 20 minutes

Summary

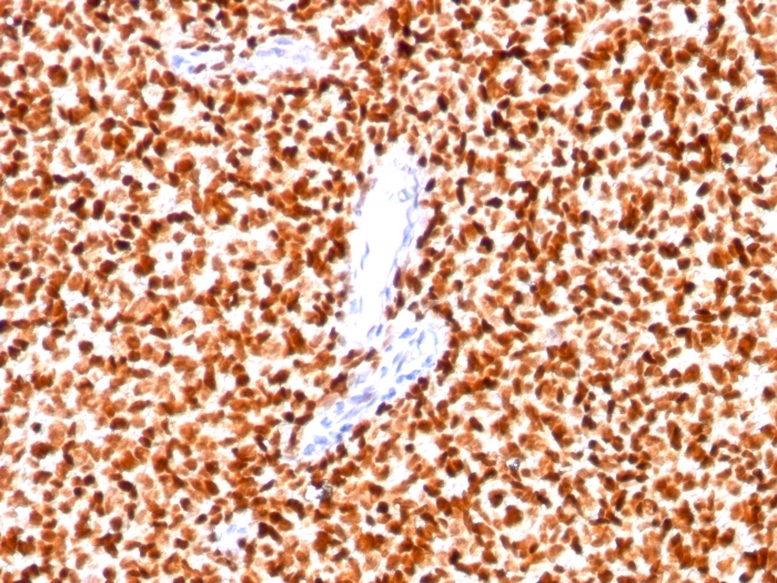
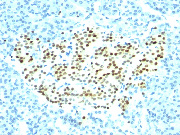
Expression of NKX2.2 has been found in neuroendocrine tumors of the gut, making it a potential marker for the study of gastrointestinal neuroendocrine tumors. More recently, NKX2.2 protein was identified as a target of EWS-FLI-1, the fusion protein specific to Ewing sarcoma, and was shown to be differentially upregulated in Ewing sarcoma on the basis of array-based gene expression analysis. It acts as a valuable marker for Ewing sarcoma, with a sensitivity of 93% and a specificity of 89%, and aids in the differential diagnosis of small round cell tumors.

Product Properties & Targets

Antibody Type
Host
Mouse
Species Reactivity
Isotype / Light Chain
IgG2b / Kappa
Cellular Localization
Nucleus
Gene Name
Positive Control
Pancreas or Ewing sarcoma.
Immunogen
Human NKX2.2 recombinant protein
Alternate Names
Homeobox protein Nkx-2.2, Homeobox protein NK-2 homolog B, Homeobox protein NK-2 homolog B, NK2 transcription factor like protein B, NK2 transcription factor related locus 2, NKX22, Nkx2b, tinman

Database Links

Entrez Gene ID
SwissProt

Additional Information

Clone
SPM564
Chromosome Location
20p11.22
Mol. Weight of Antigen
40-50kDa

Functions

  • Transcriptional activator involved in the development of insulin-producting beta cells in the endocrine pancreas (By similarity). May also be involved in specifying diencephalic neuromeric boundaries, and in controlling the expression of genes that play a role in axonal guidance. Binds to elements within the NEUROD1 promoter (By similarity).

Key References

  • Wang, Y.C. et al. (2009) Endocr Relat Cancer 16, 267-79.
  • Yoshida A et. al. Am J Surg Pathol. 2012;36(7):993-9.

Storage & Stability

Antibody with azide - store at 2 to 8°C. Antibody without azide - store at -20 to -80°C. Antibody is stable for 24 months. Non-hazardous. No MSDS required.

Limitations

This antibody is available for research use only and is not approved for use in diagnosis.

Supplied as

200ug/ml of Ab Purified from Bioreactor Concentrate by Protein A/G. Prepared in 10mM PBS with 0.05% BSA & 0.05% azide. Also available WITHOUT BSA & azide at 1.0mg/ml.

Warranty

There are no warranties, expressed or implied, which extend beyond this description. Company is not liable for any personal injury or economic loss resulting from this product.

Reviews

There are no reviews yet.

Be the first to review “NKX2.2 (Neuroendocrine & Ewing Sarcoma Marker) Antibody”

Your email address will not be published. Required fields are marked *

PARTNERSHIP OPPORTUNITIES

NeoBiotechnologies holds Exclusive rights to 10,000 recombinant and hybridoma antibody products, available for Licensing or Collaboration.

LETS TALK