
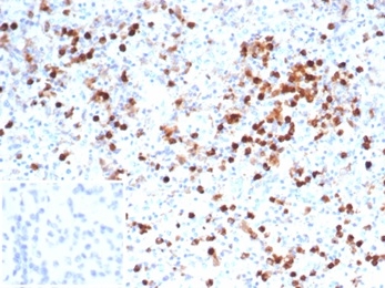
Formalin-fixed, paraffin-embedded human spleen stained with Myeloperoxidase Mouse Monoclonal Antibody (MPO/7116). Inset: PBS instead of primary antibody; secondary only negative control.
Myeloperoxidase (MPO) also called the peroxidase (POD), is an important marker of bone marrow cells. It is one of the members of the family of heme peroxidase super existing in myeloid cells (mainly neutrophils and monocytes of aniline blue particles). With the deepening of the research on MPO, MPO gene polymorphism has been found to lead to individual for some disease susceptibility differences, with a variety of human development is closely related to the occurrence of diseases. The antibody reacts with neutrophil granulocytes and monocytes in blood and with precursors of granulocytes in the bone marrow. The antibody is useful as an aid for classification of neoplastic tissue, i.e. myeloblasts and immature myeloid cells of acute myelogenous leukemia, progranulocytic leukemia, monomyelocytic leukemia, erythroleukemia and myeloblastoma.
There are no reviews yet.