
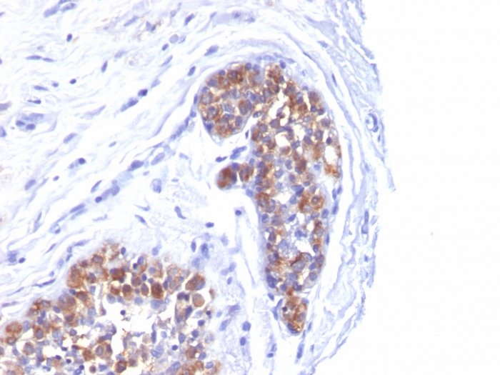
Formalin-fixed, paraffin-embedded human Ovarian Carcinoma stained with MUC-1 / CA15-3 / EMA Mouse Monoclonal Antibody (MUC1/520).

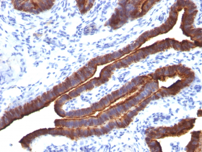
Formalin-fixed, paraffin-embedded human Colon Carcinoma stained with MUC-1 / CA15-3 / EMA Mouse Monoclonal Antibody (MUC1/520).

Formalin-fixed, paraffin-embedded human Endometrial Carcinoma stained with MUC-1 / CA15-3 / EMA Mouse Monoclonal Antibody (MUC1/520).

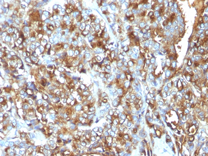
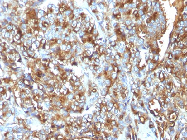
Formalin-fixed, paraffin-embedded human Breast Carcinoma stained with MUC-1 / EMA Mouse Monoclonal Antibody (MUC1/520)

Formalin-fixed, paraffin-embedded human Breast Carcinoma stained with MUC-1 / EMA Mouse Monoclonal Antibody (MUC1/520).

Formalin-fixed, paraffin-embedded human Breast Carcinoma stained with MUC-1 / EMA Mouse Monoclonal Antibody (MUC1/520).
In Western blotting, it recognizes proteins in MW range of 265-400kDa, identified as different glycoforms of EMA. EMA may provide a protective layer on epithelial cells against bacterial and enzyme attack. In immunohistochemical assays, it superbly stains routine formalin/paraffin carcinomas. Antibody to EMA is useful as a pan-epithelial marker for detecting early metastatic loci of carcinoma in bone marrow or liver.
There are no reviews yet.