Mitochondrial Marker Antibody [MTC754]

In Stock
Catalog Number Formulation Size Price
MSM4-754-P0
Purified Ab with BSA and Azide at 200ug/ml
20ug
$259.00
MSM4-754-P1
Purified Ab with BSA and Azide at 200ug/ml
100ug
$559.00
MSM4-754-P1ABX
Purified Ab WITHOUT BSA at 1.0mg/ml
100ug
$559.00
Flat Rate Domestic: $95 | Orders outside the US - Contact Us for Order Information | Ships next business day

Applications & Dilutions

Applications Tested Dillution Protocol Note
Flow Cytometry (Flow)
1-2ug/million cells
Immunofluorescence (IF)
1-3ug/ml
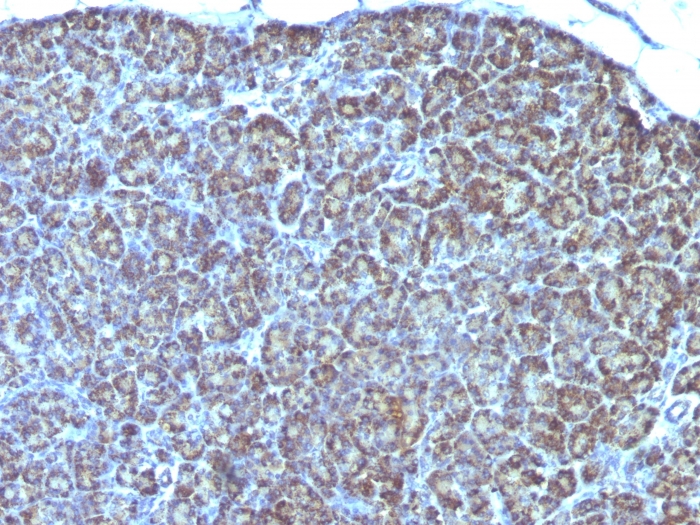
Immunohistochemistry (IHC)
1-2ug/ml
30 min at RT. Staining of formalin-fixed tissues requires heating tissue sections in 10mM Tris with 1mM EDTA, pH 9.0, for 45 min at 95°C followed by cooling at RT for 20 minutes
Western Blot (WB)
2-4ug/ml

Summary

This MAb recognizes a 60kDa antigen associated with the mitochondria in cells. It is a part of a new panel of reagents, which recognizes subcellular organelles or compartments of cells. These markers may be useful in identification of these organelles in cells, tissues, and biochemical preparations. MAb MTC754 recognizes an antigen associated with the mitochondria in cells from a wide variety of animals including insects and bacteria. It can be used to stain the mitochondria in cell or tissue preparations and can be used as a mitochondrial marker in subcellular fractions. It produces a spaghetti-like pattern in normal and malignant cells and may be used to stain mitochondria of cells in frozen tissue sections. It can also be used with paraformaldehyde fixed frozen tissue or cell preparations.

Product Properties & Targets

Antibody Type
Host
Mouse
Species Reactivity
Isotype / Light Chain
IgG1 / Kappa
Cellular Localization
N/A
Gene Name
N/A
Positive Control
HeLa or HepG2 cells. Hepatic carcinomas.
Immunogen
Mitochondrial fraction of HeLa cells
Alternate Names
N/A, N/A, Not Known

Database Links

Entrez Gene ID
SwissProt
N/A

Additional Information

Clone
MTC754
Chromosome Location
Not Known
Mol. Weight of Antigen
60kDa

Functions

  • N/A

Storage & Stability

Antibody with azide - store at 2 to 8°C. Antibody is stable for 24 months. Non-hazardous. No MSDS required.

Limitations

This antibody is available for research use only and is not approved for use in diagnosis.

Supplied as

200ug/ml of Ab Purified from Bioreactor Concentrate by Protein A/G. Prepared in 10mM PBS with 0.05% BSA & 0.05% azide. Also available WITHOUT BSA at 1.0mg/ml.

Warranty

There are no warranties, expressed or implied, which extend beyond this description. Company is not liable for any personal injury or economic loss resulting from this product.

Reviews

There are no reviews yet.

Be the first to review “Mitochondrial Marker Antibody”

Your email address will not be published. Required fields are marked *

PARTNERSHIP OPPORTUNITIES

NeoBiotechnologies holds Exclusive rights to 10,000 recombinant and hybridoma antibody products, available for Licensing or Collaboration.

LETS TALK