Microphthalmia Transcription Factor (MITF) Antibody [MITF/915]

In Stock
Catalog Number Formulation Size Price
4286-MSM2-P0
Purified Ab with BSA and Azide at 200ug/ml
20ug
$259.00
4286-MSM2-P1
Purified Ab with BSA and Azide at 200ug/ml
100ug
$559.00
4286-MSM2-P1ABX
Purified Ab WITHOUT BSA and Azide at 1.0mg/ml
100ug
$559.00
Flat Rate Domestic: $95 | Orders outside the US - Contact Us for Order Information | Ships next business day

Applications & Dilutions

Applications Tested Dillution Protocol Note
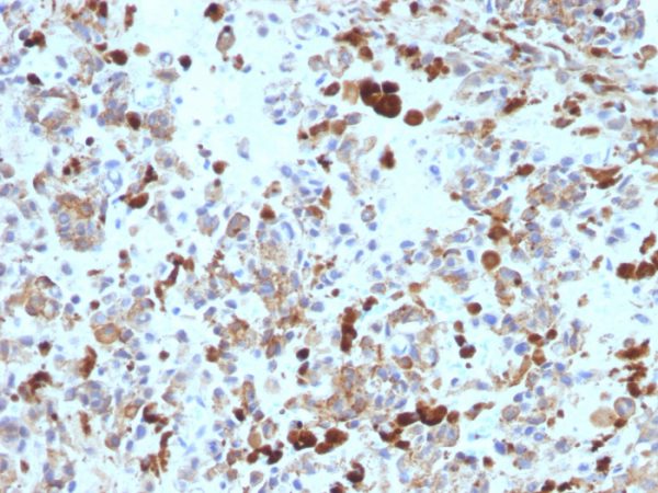
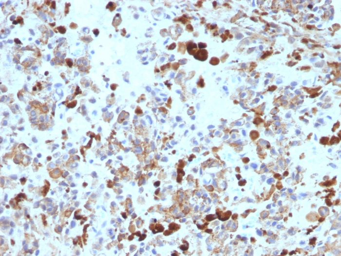
Immunohistochemistry (IHC)
1-2ug/ml
30 min at RT. Staining of formalin-fixed tissues requires heating tissue sections in 10mM Tris with 1mM EDTA, pH 9.0, for 45 min at 95°C followed by cooling at RT for 20 minutes

Summary

MITF (microphthalmia transcription factor) is a basic helix-loop-helix-leucine-zipper (bHLH-Zip) transcription factor that regulates the development and survival of melanocytes and retinal pigment epithelium, and also is involved in transcription of pigmentation enzyme genes such as tyrosinase TRP1 and TRP2. MITF has been shown to be phosphorylated by MAP kinase in response to c-kit activation, resulting in upregulation of MITF transcriptional activity. Mutations of the MITF gene are associated with the autosomal dominant hereditary deafness and pigmentation condition, Waardenburg Syndrome type 2A. Multiple isoforms of MITF exist, including MITF-A, MITF-B, MITF-C, MITF-H, and MITF-M, which differ in the amino-terminal domain and in their expression patterns. The MITF-M isoform is restricted to the melanocyte cell lineage. This MAb recognizes a nuclear protein, which is expressed in the majority of primary and metastatic epithelioid malignant melanomas as well as in normal melanocytes, benign nevi and dysplastic nevi.

Product Properties & Targets

Antibody Type
Host
Mouse
Applications
Species Reactivity
Isotype / Light Chain
IgG1 / Kappa
Cellular Localization
Cytoplasm, Nucleus
Gene Name
Positive Control
A-431, HeLa or 501 Mel human melanoma cells. Melanoma., Jurkat
Immunogen
Recombinant full-length human MiTF protein
Alternate Names
Microphthalmia-associated transcription factor, Class E basic helix-loop-helix protein 32, BHLHE32; Class E basic helix-loop-helix protein 32 (bHLHe32); CMM8; Mi; Microphthalmia-associated transcription factor; MITF; WS2; WS2A

Database Links

Entrez Gene ID
SwissProt

Additional Information

Clone
MITF/915
Chromosome Location
3p14.1
Mol. Weight of Antigen
52-56kDa (doublet)

Functions

  • Transcription factor that regulates the expression of genes with essential roles in cell differentiation, proliferation and survival. Binds to M-boxes (5'-TCATGTG-3') and symmetrical DNA sequences (E-boxes) (5'-CACGTG-3') found in the promoters of target genes, such as BCL2 and tyrosinase (TYR). Plays an important role in melanocyte development by regulating the expression of tyrosinase (TYR) and tyrosinase-related protein 1 (TYRP1). Plays a critical role in the differentiation of various cell types, such as neural crest-derived melanocytes, mast cells, osteoclasts and optic cup-derived retinal pigment epithelium.

Key References

  • Hemesath P, et. al. MAP kinase links the transcription factor microphthalmia to c-Kit signalling in melanocytes. Nature. 1998, 391:298-301

Storage & Stability

Antibody with azide - store at 2 to 8°C. Antibody without azide - store at -20 to -80°C. Antibody is stable for 24 months. Non-hazardous. No MSDS required.

Limitations

This antibody is available for research use only and is not approved for use in diagnosis.

Supplied as

200ug/ml of Ab Purified from Bioreactor Concentrate by Protein A/G. Prepared in 10mM PBS with 0.05% BSA & 0.05% azide. Also available WITHOUT BSA & azide at 1.0mg/ml.

Warranty

There are no warranties, expressed or implied, which extend beyond this description. Company is not liable for any personal injury or economic loss resulting from this product.

Reviews

There are no reviews yet.

Be the first to review “Microphthalmia Transcription Factor (MITF) Antibody”

Your email address will not be published. Required fields are marked *

PARTNERSHIP OPPORTUNITIES

NeoBiotechnologies holds Exclusive rights to 10,000 recombinant and hybridoma antibody products, available for Licensing or Collaboration.

LETS TALK