
Formalin-fixed, paraffin-embedded human testis stained with MGMT Mouse Monoclonal Antibody (MGMT/4791).

Formalin-fixed, paraffin-embedded human stomach stained with MGMT Mouse Monoclonal Antibody (MGMT/4791).

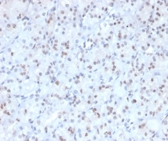
Formalin-fixed, paraffin-embedded human lymph node stained with MGMT Mouse Monoclonal Antibody (MGMT/4791).

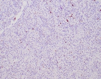
Formalin-fixed, paraffin-embedded human glioma stained with MGMT Mouse Monoclonal Antibody (MGMT/4791).

Analysis of Protein Array containing more than 19,000 full-length human proteins using Monospecific Mouse Monoclonal Antibody to MGMT (MGMT/4791). Z- and S- Score: The Z-score represents the strength of a signal that a monoclonal antibody (MAb) (in combination with a fluorescently-tagged anti-IgG secondary antibody) produces when binding to a particular protein on the HuProtTM array. Z-scores are described in units of standard deviations (SD's) above the mean value of all signals generated on that array. If targets on HuProtTM are arranged in descending order of the Z-score, the S-score is the difference (also in units of SD's) between the Z-score. S-score therefore represents the relative target specificity of a MAb to its intended target. A MAb is considered to specific to its intended target, if the MAb has an S-score of at least 2.5. For example, if a MAb binds to protein X with a Z-score of 43 and to protein Y with a Z-score of 14, then the S-score for the binding of that MAb to protein X is equal to 29.
Cancer chemotherapeutic alkylating agents (e.g. BCNU,) act by inducing formation of lethal cross links at the O6 alkylguanine position in DNA. MGMT transfers alkyl adducts from the O6 position of guanine in DNA (prior to cross link formation) to a cysteine residue in its own sequence, thereby restoring DNA to its intact state. This transfer inactivates the MGMT enzyme and is irreversible; hence the level of MGMT in a cell is directly proportional to the level of DNA damage it can tolerate. In normal tissues, MGMT acts as a suppressor of mutation and carcinogenesis. Tumors with high levels of MGMT are likely to be drug resistant
There are no reviews yet.