
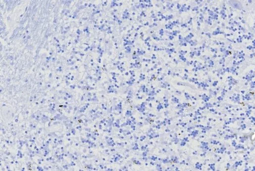
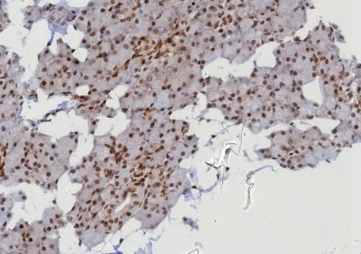
Formalin-fixed, paraffin-embedded human stomach (corpus) stained with MGMT Mouse Monoclonal Antibody (MGMT/8128R). HIER: Tris/EDTA, pH9.0, 45min. 2: HRP-polymer, 30min. DAB, 5min.
Cancer chemotherapeutic alkylating agents (e.g. BCNU,) act by inducing formation of lethal crossâ � �links at the O6â � � alkylguanine position in DNA. MGMT transfers alkyl adducts from the O6â � �position of guanine in DNA (prior to crossâ � �link formation) to a cysteine residue in its own sequence, thereby restoring DNA to its intact state. This transfer inactivates the MGMT enzyme and is irreversible; hence the level of MGMT in a cell is directly proportional to the level of DNAâ � �damage it can tolerate. In normal tissues, MGMT acts as a suppressor of mutation and carcinogenesis. Tumors with high levels of MGMT are likely to be drug resistant
There are no reviews yet.