
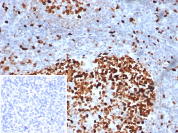
Formalin-fixed, paraffin-embedded human tonsil stained with MCM3 Mouse Monoclonal Antibody (MCM3/6706). Inset: PBS instead of primary antibody, secondary only control.

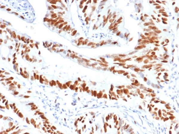
Formalin-fixed, paraffin-embedded human colon carcinoma stained with MCM3 Mouse Monoclonal Antibody (MCM3/6706). HIER: Tris/EDTA, pH9.0, 45min. 2°C: HRP-polymer, 30min. DAB, 5min.
Acts as component of the MCM2-7 complex (MCM complex) which is the putative replicative helicase essential for 'once per cell cycle' DNA replication initiation and elongation in eukaryotic cells. The active ATPase sites in the MCM2-7 ring are formed through the interaction surfaces of two neighboring subunits such that a critical structure of a conserved arginine finger motif is provided in trans relative to the ATP-binding site of the Walker A box of the adjacent subunit. The six ATPase active sites, however, are likely to contribute differentially to the complex helicase activity. Required for DNA replication and cell proliferation.
There are no reviews yet.