
Formalin-fixed, paraffin-embedded human testis stained with KIF2C Mouse Monoclonal Antibody (KIF2C/6523) at 2ug/ml. Inset: PBS instead of primary antibody; secondary only negative control.

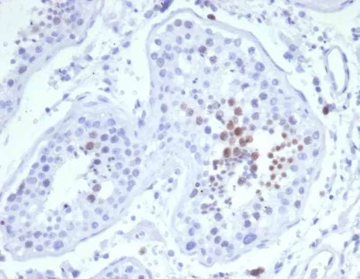
Formalin-fixed, paraffin-embedded human testis stained with KIF2C Mouse Monoclonal Antibody (KIF2C/6523) at 2ug/ml. HIER: Tris/EDTA, pH9.0, 45min. 2°C: HRP-polymer, 30min. DAB, 5min.

SDS-PAGE Analysis of Purified KIF2C Mouse Monoclonal Antibody (KIF2C/6523). Confirmation of Purity and Integrity of Antibody.

Analysis of Protein Array containing more than 19,000 full-length human proteins using KIF2C / MCAK Mouse Monoclonal Antibody (KIF2C/6523). Z- and S- Score: The Z-score represents the strength of a signal that a monoclonal antibody (MAb) (in combination with a fluorescently-tagged anti-IgG secondary antibody) produces when binding to a particular protein on the HuProtTM array. Z-scores are described in units of standard deviations (SD's) above the mean value of all signals generated on that array. If targets on HuProtTM are arranged in descending order of the Z-score, the S-score is the difference (also in units of SD's) between the Z-score. S-score therefore represents the relative target specificity of a MAb to its intended target. A MAb is considered to specific to its intended target, if the MAb has an S-score of at least 2.5. For example, if a MAb binds to protein X with a Z-score of 43 and to protein Y with a Z-score of 14, then the S-score for the binding of that MAb to protein X is equal to 29.
Kinesin family member 2c (KIF2C), alternately known as mitotic centromere associated kinesin (MCAK), is a member of the kinesin-like family of proteins. KIF2C is a cytoplasmic and nuclear protein, present throughout the cell cycle. KIF2C associates with the centromere early in prophase, and disassociates after telophase. KIF2C is abundant in thymus and testis, and present at lower levels in small intestine, the mucosal lining of the colon, and placenta. Human KIF2C maps to chromosome 1p34.1.
There are no reviews yet.