IPO-38 (Proliferation Marker) Antibody [IPO-38]

In Stock
Catalog Number Formulation Size Price
MSM1-697-P0
Purified Ab with BSA and Azide at 200ug/ml
20ug
$259.00
MSM1-697-P1
Purified Ab with BSA and Azide at 200ug/ml
100ug
$559.00
MSM1-697-P1BX
Purified Ab WITHOUT BSA at 1.0mg/ml
100ug
$559.00
Flat Rate Domestic: $95 | Orders outside the US - Contact Us for Order Information | Ships next business day

Applications & Dilutions

Applications Tested Dillution Protocol Note
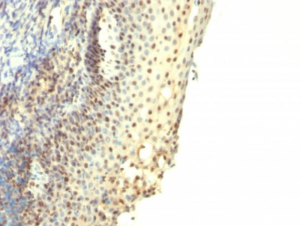
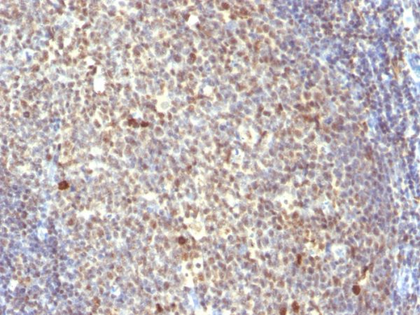
Immunohistochemistry (IHC)
1-2ug/ml
30 min at RT. Staining of formalin-fixed tissues requires heating tissue sections in 10mM Tris with 1mM EDTA, pH 9.0, for 45 min at 95°C followed by cooling at RT for 20 minutes

Summary

Recognizes a protein of 14-16kDa, which is a novel nuclear antigen of proliferating cells. IPO-38 antigen is present in the nuclei of proliferating cells such as Hodgkin’s disease and non-Hodgkin’s lymphomas, different forms of leukemias, breast and colorectal carcinomas, and PHA-stimulated lymphocytes. It is not expressed in the cells of non-stimulated lymphocytes and granulocytes. IPO-38 may be a useful marker of cell proliferation during monitoring of tumor progression.

Product Properties & Targets

Antibody Type
Host
Mouse
Applications
Species Reactivity
Isotype / Light Chain
IgM / Kappa
Cellular Localization
N/A
Gene Name
N/A
Positive Control
Raji and PHA-stimulated (>12 hours) human or mouse lymphocytes. Breast and colorectal carcinomas.
Immunogen
Spleen cells of a patient with hairy cell leukemia
Alternate Names
N/A, N/A, Not Known

Database Links

Entrez Gene ID
SwissProt
N/A

Additional Information

Clone
IPO-38
Mol. Weight of Antigen
14-16kDa

Functions

  • N/A

Key References

  • Sidorenko SP et al. Monoclonal antibodies of the IPO series in studying and diagnosing malignant lympho-proliferative diseases. Gematol Transfuziol 1990, 35(4):19-22.
  • Mikhalap SV et al. Monoclonal antibody IPO-38 recognizes a novel nuclear antigen of proliferating cells. In Kishimoto T et al eds. Leukocyte Typing VI, p609-610, Garland Publishing, New York, 1997.
  • Mathews MB et al. Identity of the proliferating cell nuclear antigen and cyclin. Nature 1984, 309:374-376.

Storage & Stability

Antibody with azide - store at 2 to 8°C. Antibody without azide - store at -20 to -80°C. Antibody is stable for 24 months. Non-hazardous. No MSDS required.

Limitations

This antibody is available for research use only and is not approved for use in diagnosis.

Supplied as

200ug/ml of Ab Purified from Bioreactor Concentrate. Prepared in 10mM PBS with 0.05% BSA & 0.05% azide. Also available WITHOUT BSA & azide at 1.0mg/ml.

Warranty

There are no warranties, expressed or implied, which extend beyond this description. Company is not liable for any personal injury or economic loss resulting from this product.

Reviews

There are no reviews yet.

Be the first to review “IPO-38 (Proliferation Marker) Antibody”

Your email address will not be published. Required fields are marked *

PARTNERSHIP OPPORTUNITIES

NeoBiotechnologies holds Exclusive rights to 10,000 recombinant and hybridoma antibody products, available for Licensing or Collaboration.

LETS TALK