
SDS-PAGE Analysis of Purified Interleukin-2 (IL-2) Mouse Monoclonal Antibody (IL2/4985). Confirmation of Purity and Integrity of Antibody.

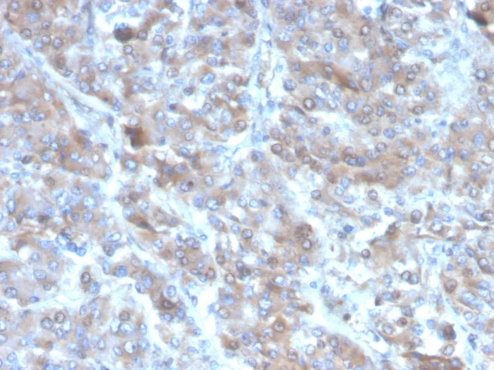
Formalin-fixed, paraffin-embedded human adrenal gland stained with Interleukin-2 (IL-2) Mouse Monoclonal Antibody (IL2/4985). HIER: Tris/EDTA, pH9.0, 45min. 2°C: HRP-polymer, 30min. DAB, 5min.

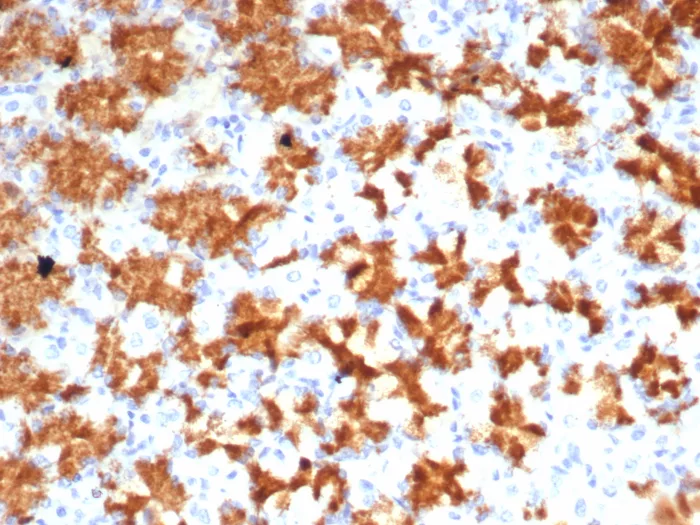
Formalin-fixed, paraffin-embedded human stomach stained with Interleukin-2 (IL-2) Mouse Monoclonal Antibody (IL2/4985). HIER: Tris/EDTA, pH9.0, 45min. 2°C: HRP-polymer, 30min. DAB, 5min.

Analysis of Protein Array containing more than 19,000 full-length human proteins using Interleukin-2 (IL-2) Monospecific Mouse Monoclonal Antibody (IL2/4985). Z- and S- Score: The Z-score represents the strength of a signal that a monoclonal antibody (MAb) (in combination with a fluorescently-tagged anti-IgG secondary antibody) produces when binding to a particular protein on the HuProtTM array. Z-scores are described in units of standard deviations (SD's) above the mean value of all signals generated on that array. If targets on HuProtTM are arranged in descending order of the Z-score, the S-score is the difference (also in units of SD's) between the Z-score. S-score therefore represents the relative target specificity of a MAb to its intended target. A MAb is considered to be specific to its intended target, if the MAb has an S-score of at least 2.5. For example, if a MAb binds to protein X with a Z-score of 43 and to protein Y with a Z-score of 14, then the S-score for the binding of that MAb to protein X is equal to 29.
Interleukin-2 (IL-2) is a T cell stimulatory cytokine that induces T cell proliferation and NK cell proliferation and activation. Produced by T-cells in response to antigenic or mitogenic stimulation, this protein is required for T-cell proliferation and other activities crucial to regulation of the immune response. Can stimulate B-cells, monocytes, lymphokine-activated killer cells, natural killer cells, and glioma cells. The receptor of this cytokine is a heterotrimeric protein complex whose gamma chain is also shared by interleukin 4 (IL4) and interleukin 7 (IL7). IL-2 induces CTLA-4 and also functions as a survival factor for lymphocytes.
There are no reviews yet.