Interleukin-1 beta (IL-1 beta) Antibody [IL1B/463]

In Stock
Catalog Number Formulation Size Price
3553-MSM8-P0
Purified Ab with BSA and Azide at 200ug/ml
20ug
$259.00
3553-MSM8-P1
Purified Ab with BSA and Azide at 200ug/ml
100ug
$559.00
3553-MSM8-P1ABX
Purified Ab WITHOUT BSA and Azide at 1.0mg/ml
100ug
$559.00
Flat Rate Domestic: $95 | Orders outside the US - Contact Us for Order Information | Ships next business day

Applications & Dilutions

Applications Tested Dillution Protocol Note
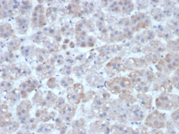
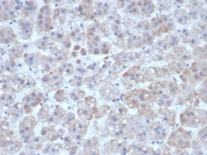
Immunohistochemistry (IHC)
1-2ug/ml
30 min at RT. Staining of formalin-fixed tissues requires heating tissue sections in 10mM Tris with 1mM EDTA, pH 9.0, for 45 min at 95°C followed by cooling at RT for 20 minutes

Summary

Recognizes a protein of 17-31kDa, identified as interleukin 1beta. It shows no cross-reaction with interleukin 1alpha. Epitopes of MAb IL1B/463 and IL1B/463 are different and provide a good pair for developing an ELISA. This cytokine is produced by activated macrophages as a proprotein, which is proteolytically processed to its active form by caspase 1 (CASP1/ICE). This cytokine is an important mediator of the inflammatory response, and is involved in a variety of cellular activities, including cell proliferation, differentiation, and apoptosis. The induction of cyclooxygenase-2 (PTGS2/COX2) by this cytokine in the central nervous system (CNS) is found to contribute to inflammatory pain hypersensitivity. This gene and eight other interleukin 1 family genes form a cytokine gene cluster on chromosome 2.

Product Properties & Targets

Antibody Type
Host
Mouse
Applications
Species Reactivity
Isotype / Light Chain
IgG1 / Kappa
Cellular Localization
Cytoplasm. Extracellular (Secreted).
Gene Name
Positive Control
colon or liver tissue.|LPS stimulated human peripheral blood mononuclear cells. Human adrenal gland
Immunogen
Recombinant human IL1B protein
Alternate Names
Interleukin-1 beta, Catabolin, Catabolin; Hematopoietin 1 (H1); IFN beta inducing factor; IL-1 beta; IL1B; IL1F2; Interleukin 1 beta precursor; Interleukin-1 beta; LAF; Osteoclast activating factor (OAF); Preinterleukin 1 beta; Pro interleukin 1 beta

Database Links

Entrez Gene ID
SwissProt

Additional Information

Clone
IL1B/463
Chromosome Location
2q14.1
Mol. Weight of Antigen
31kDa (proprotein); 17kDa (mature)

Functions

  • Potent pro-inflammatory cytokine (PubMed:3920526, PubMed:10653850, PubMed:12794819, PubMed:28331908). Initially discovered as the major endogenous pyrogen, induces prostaglandin synthesis, neutrophil influx and activation, T-cell activation and cytokine production, B-cell activation and antibody production, and fibroblast proliferation and collagen production (PubMed:3920526). Promotes Th17 differentiation of T-cells. Synergizes with IL12/interleukin-12 to induce IFNG synthesis from T-helper 1 (Th1) cells (PubMed:10653850). Plays a role in angiogenesis by inducing VEGF production synergistically with TNF and IL6 (PubMed:12794819). Involved in transduction of inflammation downstream of pyroptosis: its mature form is specifically released in the extracellular milieu by passing through the gasdermin-D (GSDMD) pore (PubMed:33377178, PubMed:33883744). Acts as a sensor of S.pyogenes infection in skin: cleaved and activated by pyogenes SpeB protease, leading to an inflammatory response that prevents bacterial growth during invasive skin infection (PubMed:28331908).

Key References

  • Dumoulin FL, et al. Intrahepatic expression of interleukin-1beta and tumor necrosis factor-alpha in chronic hepatitis C. J Infect Dis. 1999 Nov;180(5):1704-8.

PubMed Links

Storage & Stability

Antibody with azide - store at 2 to 8°C. Antibody without azide - store at -20 to -80°C.Antibody is stable for 24 months. Non-hazardous. No MSDS required.

Limitations

This antibody is available for research use only and is not approved for use in diagnosis.

Supplied as

200ug/ml of Ab purified from Bioreactor Concentrate by Protein A/G. Prepared in 10mM PBS with 0.05% BSA & 0.05% azide. Also available WITHOUT BSA & azide at 1.0mg/ml.

Warranty

There are no warranties, expressed or implied, which extend beyond this description. Company is not liable for any personal injury or economic loss resulting from this product.

Reviews

There are no reviews yet.

Be the first to review “Interleukin-1 beta (IL-1 beta) Antibody”

Your email address will not be published. Required fields are marked *

PARTNERSHIP OPPORTUNITIES

NeoBiotechnologies holds Exclusive rights to 10,000 recombinant and hybridoma antibody products, available for Licensing or Collaboration.

LETS TALK