HSD17B13 / Hydroxysteroid 17-beta dehydrogenase 13 (NAFLD / NASH Marker) Antibody [HSD17B13/13104]

In Stock
Catalog Number Formulation Size Price
345275-MSM4-P0
Purified Ab with BSA and Azide at 200ug/ml
20ug
$259.00
345275-MSM4-P1
Purified Ab with BSA and Azide at 200ug/ml
100ug
$559.00
345275-MSM4-P1ABX
Purified Ab WITHOUT BSA and Azide at 1.0mg/ml
100ug
$559.00
Flat Rate Domestic: $95 | Orders outside the US - Contact Us for Order Information | Ships next business day

Applications & Dilutions

Applications Tested Dillution Protocol Note
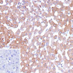
Immunohistochemistry (IHC)
1-2ug/ml
30 min at RT. Staining of formalin-fixed tissues requires heating tissue sections in 10mM Tris with 1mM EDTA, pH 9.0, for 45 min at 95°C followed by cooling at RT for 20 minutes

Summary

Hydroxysteroid 17-beta dehydrogenase 13 (HSD17B13) is an engyme in the liver that is associated with lipid droplets. It is encoded by the HSD17B13 gene in humans. HSD17B13 levels increase in patients with non-alcoholic fatty liver disease (NAFLD) and can enhance lipogenesis. However, some studies have shown that loss-of-function variants in HSD17B13 may protect against the progression of NAFLD to non-alcoholic steatohepatitis, fibrosis, and hepatocellular carcinoma.

Product Properties & Targets

Antibody Type
Host
Mouse
Applications
Species Reactivity
Isotype / Light Chain
IgG2b / Kappa
Cellular Localization
Cytoplasm, Endoplasmic reticulum, Lipid droplet
Gene Name
Positive Control
Human liver, ovary, kidney, brain or bone marrow.
Immunogen
Recombinant fragment (around aa1-200) of human HSD17B13 protein (exact sequence is proprietary)
Alternate Names
17-beta-hydroxysteroid dehydrogenase 13, 7-beta-hydroxysteroid dehydrogenase 13; 17-beta-HSD 13; Short chain dehydrogenase/reductase family 16C member 3; Short-chain dehydrogenase/reductase 9; SDR16C3 SCDR9; HMFN0376 UNQ497/PRO1014; HSD17B13, 7-beta hydroxysteroid dehydrogenase; 17-beta-HSD 13; hepatic retinol/retinal dehydrogenase; short chain dehydrogenase/reductase family 16C member 3; short-chain dehydrogenase/reductase 9

Database Links

Entrez Gene ID
SwissProt

Additional Information

Clone
HSD17B13/13104
Chromosome Location
4q22.1
Mol. Weight of Antigen
30kDa

Functions

  • Plays a pivotal role in hepatic lipid metabolism (PubMed:29562163). In vitro, it catalyzes the oxidation of a variety of lipid substrates, including 17beta-estradiol, retinol, retinal, and leukotriene B4 (PubMed:29562163, PubMed:30415504, PubMed:32973038).

Key References

  • Zhang, H., et al. (2022). HSD17B13: A Potential Therapeutic Target for NAFLD. Frontiers in Molecular Biosciences, 8. https://doi.org/10.3389/fmolb.2021.824776
  • Ioannou GN. Epidemiology and risk-stratification of NAFLD-associated HCC
  • Su W, Mao Z, Liu Y, et al. Role of HSD17B13 in the liver physiology and pathophysiology.

Storage & Stability

Antibody with azide - store at 2 to 8°C. Antibody without azide - store at -20 to -80°C. Antibody is stable for 24 months. Non-hazardous. No MSDS required.

Limitations

This antibody is available for research use only and is not approved for use in diagnosis.

Supplied as

200ug/ml of Ab Purified from Bioreactor Concentrate by Protein A/G. Prepared in 10mM PBS with 0.05% BSA & 0.05% azide. Also available WITHOUT BSA & azide at 1.0mg/ml.

Warranty

There are no warranties, expressed or implied, which extend beyond this description. Company is not liable for any personal injury or economic loss resulting from this product.

Reviews

There are no reviews yet.

Be the first to review “HSD17B13 / Hydroxysteroid 17-beta dehydrogenase 13 (NAFLD / NASH Marker) Antibody”

Your email address will not be published. Required fields are marked *

PARTNERSHIP OPPORTUNITIES

NeoBiotechnologies holds Exclusive rights to 10,000 recombinant and hybridoma antibody products, available for Licensing or Collaboration.

LETS TALK