
SDS-PAGE Analysis Purified HK1 Mouse Monoclonal Antibody (HK1/9517). Confirmation of Purity and Integrity of Antibody.

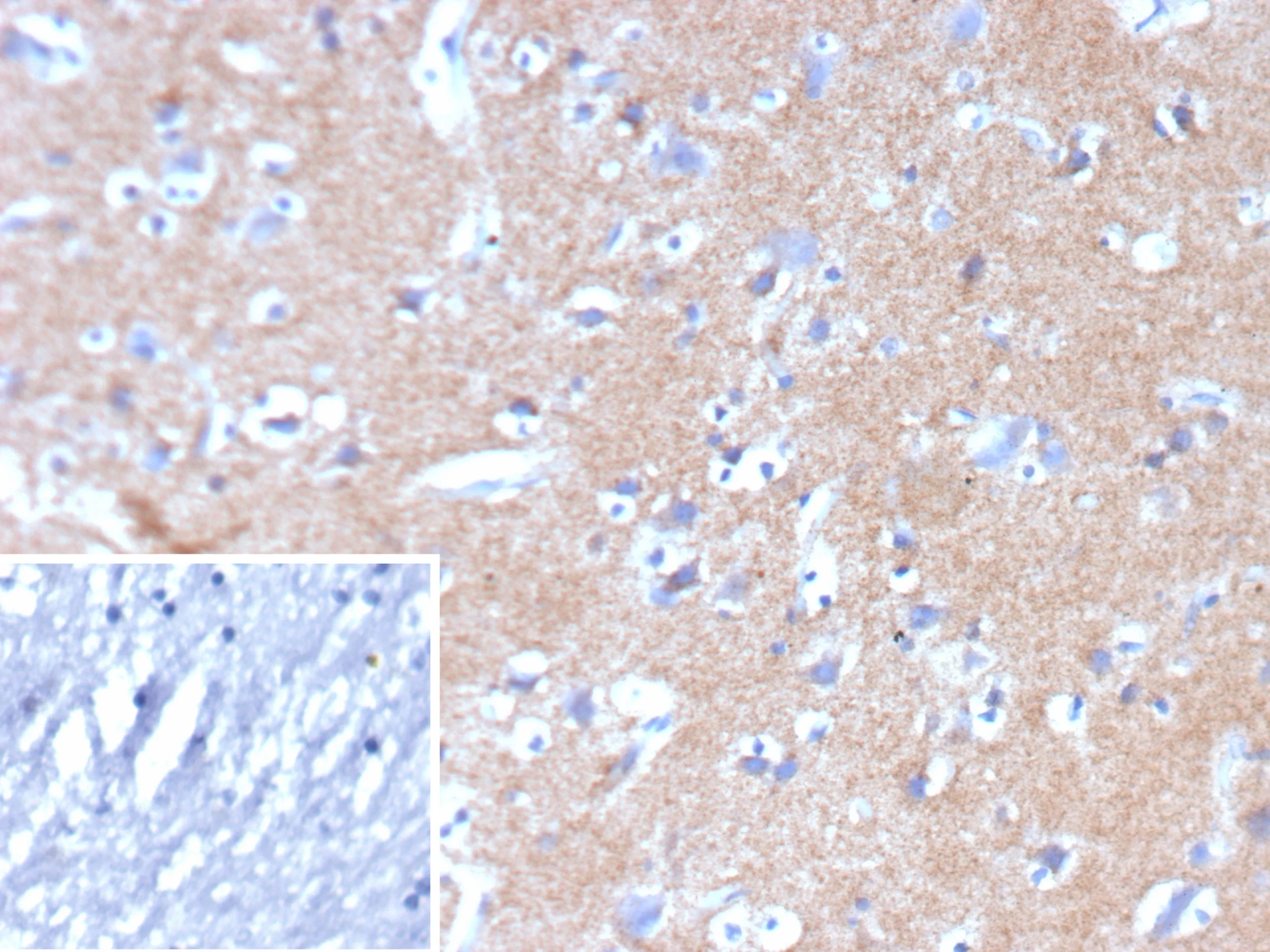
Formalin-fixed, paraffin-embedded human brain stained with Hexokinase 1 Mouse Monoclonal Antibody (HK1/9517). Inset: PBS instead of primary antibody; secondary only negative control.
Hexokinases phosphorylate glucose to produce glucose-6-phosphate, the first step in most glucose metabolism pathways. This gene encodes a ubiquitous form of hexokinase which localizes to the outer membrane of mitochondria. Mutations in this gene have been associated with hemolytic anemia due to hexokinase deficiency. Alternative splicing of this gene results in several transcript variants which encode different isoforms, some of which are tissue-specific.
There are no reviews yet.