Hepatocyte Specific Antigen (Hepatocellular Marker) Antibody [OCH1E5]

In Stock
Best Seller
Catalog Number Formulation Size Price
MSM1-671-P0
Purified Ab with BSA and Azide at 200ug/ml
20ug
$259.00
MSM1-671-P1
Purified Ab with BSA and Azide at 200ug/ml
100ug
$559.00
MSM1-671-P1ABX
Purified Ab WITHOUT BSA and Azide at 1.0mg/ml
100ug
$559.00
Flat Rate Domestic: $95 | Orders outside the US - Contact Us for Order Information | Ships next business day

Applications & Dilutions

Applications Tested Dillution Protocol Note
Immunofluorescence (IF)
1-3ug/ml
Immunohistochemistry (IHC)
1-2ug/ml
30 min at RT. Staining of formalin-fixed tissues requires heating tissue sections in 10mM Tris with 1mM EDTA, pH 9.0, for 45 min at 95°C followed by cooling at RT for 20 minutes

Summary

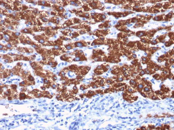
Hepatocyte Specific Antigen, also called Hepatocyte Paraffin 1 or HepPar1, localizes to the mitochondria of hepatocytes. It is a sensitive marker for distinguishing hepatocellular carcinomas (HCC) from other metastatic carcinomas as well as cholangio-carcinomas. HCC’s occur primarily in the stomach, but they are also found in many other organs. The Hepatocyte Specific Antigen may also be a useful marker for intestinal metaplasia. Reportedly, strong expression of the Hepatocyte Specific Antigen correlates with smaller tumor size and longer patient survival. Occasionally, Hepatocyte Specific Antigen is also found in gastric carcinomas as well as in a few other non-hepatic tumors.

Product Properties & Targets

Antibody Type
Host
Mouse
Species Reactivity
Isotype / Light Chain
IgG1 / Kappa
Cellular Localization
N/A
Gene Name
N/A
Positive Control
Liver or Hepatocellular Carcinoma (HCC).
Immunogen
Extract of a formalin-fixed, rejected-allograft of a human liver
Alternate Names
N/A, N/A, Not Known

Database Links

Entrez Gene ID
SwissProt
N/A

Additional Information

Clone
OCH1E5
Mol. Weight of Antigen
Not Known

Functions

  • N/A

Key References

  • Ramos-Vara, J.A., et al. Histochem 2002; J. 34: 397-401.
  • Wennerberg AE et. al. Am J Pathol 1993;143:1050-4.
  • Fan, Z., et al. Mod. Pathol 2003; 16: 137-144, 2003.

Storage & Stability

Antibody with azide - store at 2 to 8°C. Antibody without azide - store at -20 to -80°C. Antibody is stable for 24 months. Non-hazardous. No MSDS required.

Limitations

This antibody is available for research use only and is not approved for use in diagnosis.

Supplied as

200ug/ml of Ab purified from Bioreactor Concentrate by Protein A/G. Prepared in 10mM PBS with 0.05% BSA & 0.05% azide. Also available WITHOUT BSA & azide at 1.0mg/ml.

Warranty

There are no warranties, expressed or implied, which extend beyond this description. Company is not liable for any personal injury or economic loss resulting from this product.

Reviews

There are no reviews yet.

Be the first to review “Hepatocyte Specific Antigen (Hepatocellular Marker) Antibody”

Your email address will not be published. Required fields are marked *

PARTNERSHIP OPPORTUNITIES

NeoBiotechnologies holds Exclusive rights to 10,000 recombinant and hybridoma antibody products, available for Licensing or Collaboration.

LETS TALK