Recombinant Glypican-3 (GPC3) (Hepatocellular Carcinoma Marker) Antibody [GPC3/8127R]

In Stock
Catalog Number Formulation Size Price
2719-RBM11-P0
Purified Ab with BSA and Azide at 200ug/ml
20ug
$259.00
2719-RBM11-P1
Purified Ab with BSA and Azide at 200ug/ml
100ug
$559.00
2719-RBM11-P1ABX
Purified Ab WITHOUT BSA and Azide at 1.0mg/ml
100ug
$559.00
Flat Rate Domestic: $95 | Orders outside the US - Contact Us for Order Information | Ships next business day

Applications & Dilutions

Applications Tested Dillution Protocol Note
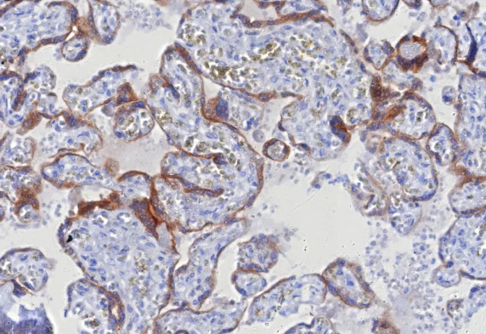
Immunohistochemistry (IHC)
1-2ug/ml
30 min at RT. Staining of formalin-fixed tissues requires heating tissue sections in 10mM Tris with 1mM EDTA, pH 9.0, for 45 min at 95°C followed by cooling at RT for 20 minutes

Summary

Glypican-3 (GPC3) is a glycosylphospatidyl inositol-anchored membrane protein, which may also be found in a secreted form. Anti-GPC3 has been identified as a useful tumor marker for the diagnosis of hepatocellular carcinoma (HCC), hepatoblastoma, melanoma, testicular germ cell tumors, and Wilm s tumor. In patients with HCC, GPC3 is overexpressed in neoplastic liver tissue and elevated in serum, but is undetectable in normal liver, benign liver, and the serum of healthy donors. GPC3 expression is also found to be higher in HCC liver tissue than in cirrhotic liver or liver with focal lesions such as dysplastic nodules and areas of hepatic adenoma (HA) with malignant transformation. In the context of testicular germ cell tumors, GPC3 expression is up regulated in certain histologic subtypes, specifically yolk sac tumors and choriocarcinoma. A high level of GPC3 expression is also found in some types of embryonal tumors, such as Wilm s tumor and hepatoblastoma, with a low or undetectable expression in normal adjacent tissue. In patients with thyroid cancer, expression of GPC3 is dramatically enhanced in certain types of cancers: 100% in follicular carcinoma and 70% in papillary carcinoma. Expression of GPC3 in follicular carcinoma is significantly higher than that of follicular adenoma. In contrast, GPC3 is not expressed in anaplastic carcinoma.

Product Properties & Targets

Host
Rabbit
Applications
Species Reactivity
Isotype / Light Chain
IgG / Kappa
Cellular Localization
Cytoplasm.
Gene Name
Positive Control
Human placenta or hepatocellular carcinoma.
Immunogen
Recombinant fragment (around aa400-550) of human GPC3 protein (exact sequence is proprietary)
Alternate Names
Glypican-3 | Glypican-3 alpha subunit | Glypican-3 beta subunit, GTR2-2, Intestinal protein OCI-5, MXR7, DGSX; Glypican proteoglycan 3; GPC3; GTR2-2; Heparan sulphate proteoglycan; Intestinal protein OCI-5; MXR7; OCI-5; SDYS; Secreted glypican-3; SGBS1

Database Links

Entrez Gene ID
SwissProt

Additional Information

Clone
GPC3/8127R
Chromosome Location
Xq26.2
Mol. Weight of Antigen
67kDa

Functions

  • Cell surface proteoglycan (PubMed:14610063). Negatively regulates the hedgehog signaling pathway when attached via the GPI-anchor to the cell surface by competing with the hedgehog receptor PTC1 for binding to hedgehog proteins (By similarity). Binding to the hedgehog protein SHH triggers internalization of the complex by endocytosis and its subsequent lysosomal degradation (By similarity). Positively regulates the canonical Wnt signaling pathway by binding to the Wnt receptor Frizzled and stimulating the binding of the Frizzled receptor to Wnt ligands (PubMed:16227623, PubMed:24496449). Positively regulates the non-canonical Wnt signaling pathway (By similarity). Binds to CD81 which decreases the availability of free CD81 for binding to the transcriptional repressor HHEX, resulting in nuclear translocation of HHEX and transcriptional repression (By similarity). Inhibits the dipeptidyl peptidase activity of DPP4 (PubMed:17549790). Plays a role in limb patterning and skeletal development by controlling the cellular response to BMP4 (By similarity). Modulates the effects of growth factors BMP2, BMP7 and FGF7 on renal branching morphogenesis (By similarity). Required for coronary vascular development (By similarity). Plays a role in regulating cell movements during gastrulation (By similarity).

Key References

  • Yan, B., et al. 2011. Ann. Diagn. Pathol. 15: 162-169.

Storage & Stability

Antibody with azide - store at 2 to 8°C. Antibody without azide - store at -20 to -80°C.Antibody is stable for 24 months. Non-hazardous. No MSDS required.

Limitations

This antibody is available for research use only and is not approved for use in diagnosis.

Supplied as

200ug/ml of Ab purified by Protein A Column. Prepared in 10mM PBS with 0.05% BSA & 0.05% azide. Also available WITHOUT BSA & azide at 1.0mg/ml.

Warranty

There are no warranties, expressed or implied, which extend beyond this description. Company is not liable for any personal injury or economic loss resulting from this product.

Reviews

There are no reviews yet.

Be the first to review “Recombinant Glypican-3 (GPC3) (Hepatocellular Carcinoma Marker) Antibody”

Your email address will not be published. Required fields are marked *

PARTNERSHIP OPPORTUNITIES

NeoBiotechnologies holds Exclusive rights to 10,000 recombinant and hybridoma antibody products, available for Licensing or Collaboration.

LETS TALK