Flt3 / CD135 Antibody [FLT3/9884]

In Stock
Catalog Number Formulation Size Price
2322-MSM4-P0
Purified Ab with BSA and Azide at 200ug/ml
20ug
$259.00
2322-MSM4-P1
Purified Ab with BSA and Azide at 200ug/ml
100ug
$559.00
2322-MSM4-P1ABX
Purified Ab WITHOUT BSA at 1.0mg/ml
100ug
$559.00
Flat Rate Domestic: $95 | Orders outside the US - Contact Us for Order Information | Ships next business day

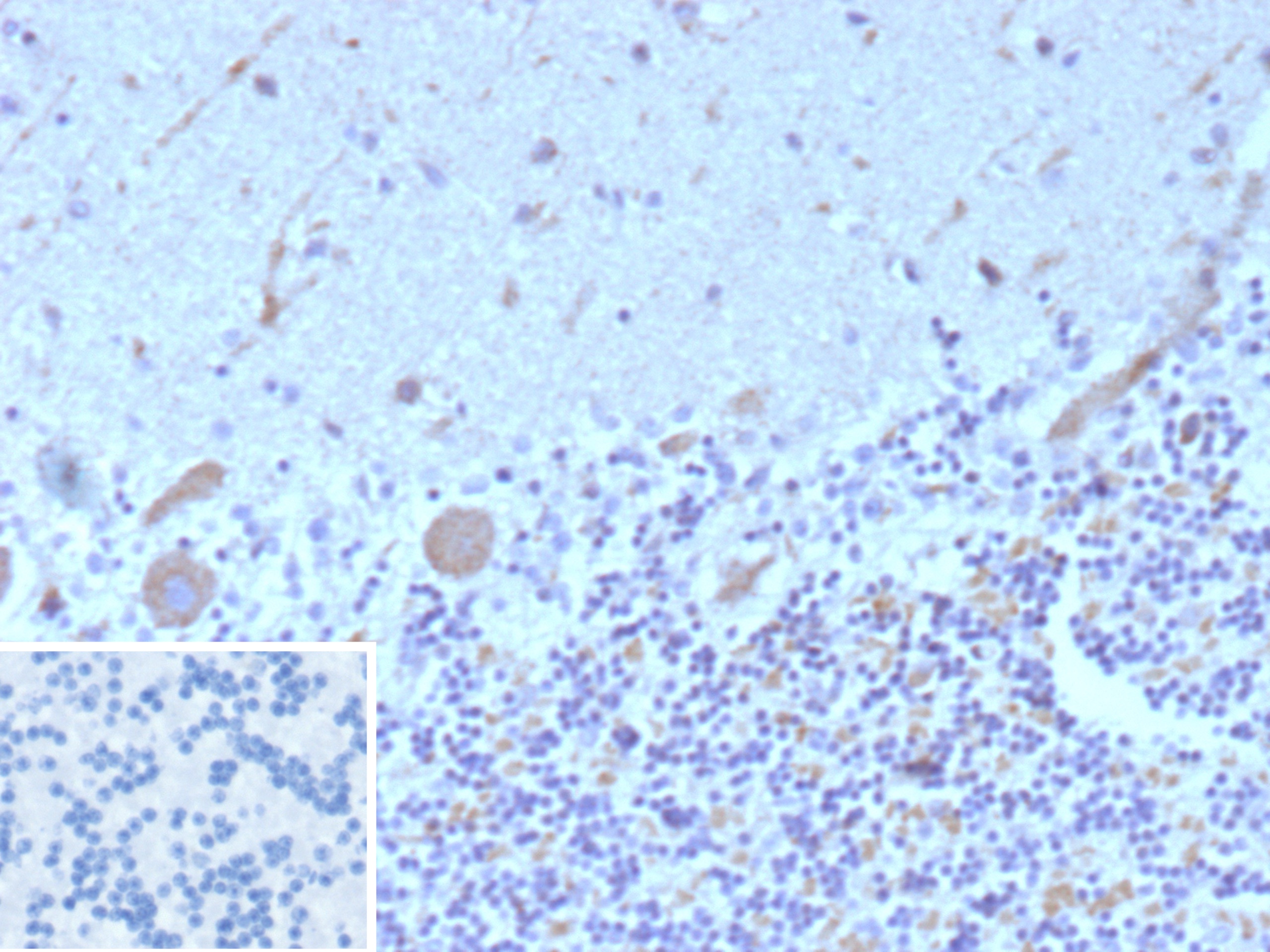
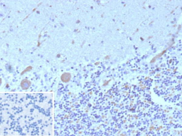
Applications & Dilutions

Applications Tested Dillution Protocol Note
Immunohistochemistry (IHC)
1-2ug/ml
30 min at RT. Staining of formalin-fixed tissues requires heating tissue sections in 10mM Tris with 1mM EDTA, pH 9.0, for 45 min at 95°C followed by cooling at RT for 20 minutes

Summary

Stem cell tyrosine kinase (STK-1) has been cloned from a CD34+ hematopoietic stem cell enriched library and identified as the human homolog of a previously identified gene of Mouse origin designated either Flk-2 or Flt-3. The STK-1 cDNA encodes a protein of 993 amino acids with 85% identity to Flt-3/Flk-2. STK-1 is a member of the type III receptor tyrosine kinase family that includes Kit (steel factor receptor), Fms and PDGF. STK-1 expression in blood and marrow is restricted to CD34+ cells, a population greatly enriched for hematopoietic stem/progenitor cells. STK-1 antiserum recognizes two polypeptides in these cells. The Mouse homolog of STK-1, designated Flt-3/Flk-2, is expressed at high levels in hematopoietic cells and also in neural, gonadal, hepatic and placental tissues. It has been suggested that STK-1 and its murine homolog Flt-3/Flk-2 may function as growth factor receptors on hematopoietic stem and/or progenitor cells.

Product Properties & Targets

Antibody Type
Host
Mouse
Applications
Species Reactivity
Isotype / Light Chain
IgG /
Cellular Localization
Endoplasmic reticulum lumen, Membrane
Gene Name
Positive Control
Human brain, lymph node or MDAMB468 xenograft.
Immunogen
Recombinant fragment (around aa500-800) of human FLT3 protein (exact sequence is proprietary)
Alternate Names
Receptor-type tyrosine-protein kinase FLT3, FL cytokine receptor, Fetal liver kinase-2, Fms-like tyrosine kinase 3, Stem cell tyrosine kinase 1, CD135; CD135 antigen; Fetal liver kinase 2; FL cytokine receptor; Flk2; FLT-3; Flt3; FLT3_HUMAN; FMS like tyrosine kinase 3; Fms related tyrosine kinase 3; Growth factor receptor tyrosine kinase type III; Ly-72; OTTHUMP0000004234; Receptor type tyrosine protein kinase FLT3; Stem cell tyrosine kinase 1; Stk 1; STK-1; Stk1; Tyrosine protein kinase receptor FLT3;

Database Links

Entrez Gene ID
SwissProt

Additional Information

Clone
FLT3/9884
Chromosome Location
13q12.2
Mol. Weight of Antigen
160kDa

Functions

  • Tyrosine-protein kinase that acts as cell-surface receptor for the cytokine FLT3LG and regulates differentiation, proliferation and survival of hematopoietic progenitor cells and of dendritic cells. Promotes phosphorylation of SHC1 and AKT1, and activation of the downstream effector MTOR. Promotes activation of RAS signaling and phosphorylation of downstream kinases, including MAPK1/ERK2 and/or MAPK3/ERK1. Promotes phosphorylation of FES, FER, PTPN6/SHP, PTPN11/SHP-2, PLCG1, and STAT5A and/or STAT5B. Activation of wild-type FLT3 causes only marginal activation of STAT5A or STAT5B. Mutations that cause constitutive kinase activity promote cell proliferation and resistance to apoptosis via the activation of multiple signaling pathways.

Key References

  • George, P., et al. 2004. Cotreatment with 17-allylamino-demethoxygeldanamycin and Flt-3 kinase inhibitor PKC412 is highly effective against human acute myelogenous leukemia cells with mutant Flt-3. Cancer Res. 64: 3645-3652.

Storage & Stability

Antibody with azide - store at 2 to 8°C. Antibody without azide - store at -20 to -80°C. Antibody is stable for 24 months. Non-hazardous. No MSDS required.

Limitations

This antibody is available for research use only and is not approved for use in diagnosis.

Supplied as

200ug/ml of Ab Purified from Bioreactor Concentrate by Protein A/G. Prepared in 10mM PBS with 0.05% BSA & 0.05% azide. Also available WITHOUT BSA & azide at 1.0mg/ml.

Warranty

There are no warranties, expressed or implied, which extend beyond this description. Company is not liable for any personal injury or economic loss resulting from this product.

Reviews

There are no reviews yet.

Be the first to review “Flt3 / CD135 Antibody”

Your email address will not be published. Required fields are marked *

PARTNERSHIP OPPORTUNITIES

NeoBiotechnologies holds Exclusive rights to 10,000 recombinant and hybridoma antibody products, available for Licensing or Collaboration.

LETS TALK