FABP5 (Marker of Metastatic Potential in Colorectal Cancer) Antibody [CPTC-FABP5-3]

In Stock
Catalog Number Formulation Size Price
2171-MSM1-P0
Purified Ab with BSA and Azide at 200ug/ml
20ug
$259.00
2171-MSM1-P1
Purified Ab with BSA and Azide at 200ug/ml
100ug
$559.00
2171-MSM1-P1ABX
Purified Ab WITHOUT BSA and Azide at 1.0mg/ml
100ug
$559.00
Flat Rate Domestic: $95 | Orders outside the US - Contact Us for Order Information | Ships next business day

Applications & Dilutions

Applications Tested Dillution Protocol Note
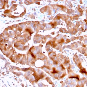
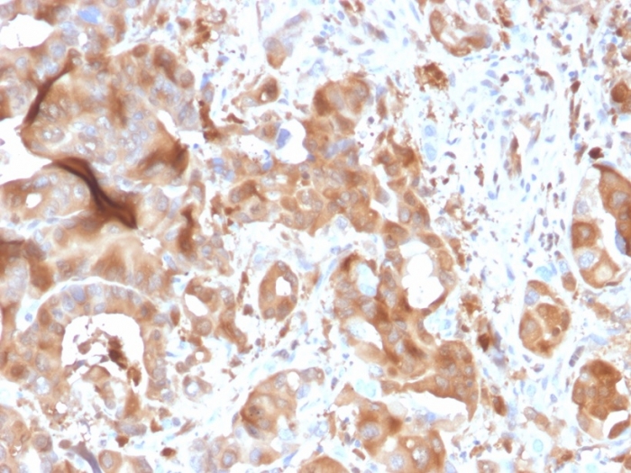
Immunohistochemistry (IHC)
1-2ug/ml
30 min at RT. Staining of formalin-fixed tissues requires heating tissue sections in 10mM Tris with 1mM EDTA, pH 9.0, for 45 min at 95°C followed by cooling at RT for 20 minutes
Western Blot (WB)
2-4ug/ml

Summary

This gene encodes the fatty acid binding protein found in epidermal cells, and was first identified as being upregulated in psoriasis tissue. Fatty acid binding proteins are a family of small, highly conserved, cytoplasmic proteins that bind long-chain fatty acids and other hydrophobic ligands. FABPs may play roles in fatty acid uptake, transport, and metabolism. Polymorphisms in this gene are associated with type 2 diabetes. The human genome contains many pseudogenes similar to this locus. FABP5 is also associated with poor survival in triple-negative breast cancer. Additionally, FABP5 gene is upregulated in colorectal cancer cells compared to normal colon cells in a manner that correlates with disease stage and that FABP5 significantly promotes colorectal cancer cell growth and metastatic potential.

Product Properties & Targets

Antibody Type
Host
Mouse
Species Reactivity
Isotype / Light Chain
IgG2a / Kappa
Cellular Localization
Cell junction, Cytoplasm, Nucleus, Postsynaptic density, Secreted, Synapse
Gene Name
Positive Control
HeLa or HEK-293 cells. Keratinocytes; highly expressed in psoriatic skin., Molt-4, Raji
Immunogen
Recombinant human full-length FABP5 protein
Alternate Names
Fatty acid-binding protein 5, Epidermal-type fatty acid-binding protein, Fatty acid-binding protein, epidermal, Psoriasis-associated fatty acid-binding protein homolog, FABP5; E-FABP; EFABP; PA-FABP; PAFABP

Database Links

Entrez Gene ID
SwissProt

Additional Information

Clone
CPTC-FABP5-3
Chromosome Location
8q21.13
Mol. Weight of Antigen
15.4kDa

Functions

  • Intracellular carrier for long-chain fatty acids and related active lipids, such as endocannabinoids, that regulate the metabolism and actions of the ligands they bind. In addition to the cytosolic transport, selectively delivers specific fatty acids from the cytosol to the nucleus, wherein they activate nuclear receptors (PubMed:22170058, PubMed:21395585). Delivers retinoic acid to the nuclear receptor peroxisome proliferator-activated receptor delta; which promotes proliferation and survival. May also serve as a synaptic carrier of endocannabinoid at central synapses and thus controls retrograde endocannabinoid signaling. Modulates inflammation by regulating PTGES induction via NF-kappa-B activation, and prostaglandin E2 (PGE2) biosynthesis during inflammation (By similarity). May be involved in keratinocyte differentiation (PubMed:8092987).

Key References

  • Liu, Rong-Zong et al. The American Journal of Pathology 178.3 (2011): 997 1008.

Storage & Stability

Antibody with azide - store at 2 to 8 °C. Antibody without azide - store at -20 to -80 °C. Antibody is stable for 24 months. Non-hazardous. No MSDS required.

Limitations

This antibody is available for research use only and is not approved for use in diagnosis.

Supplied as

200ug/ml of Ab purified from Bioreactor Concentrate by Protein A/G. Prepared in 10mM PBS with 0.05% BSA & 0.05% azide. Also available WITHOUT BSA & azide at 1.0mg/ml.

Warranty

There are no warranties, expressed or implied, which extend beyond this description. Company is not liable for any personal injury or economic loss resulting from this product.

Reviews

There are no reviews yet.

Be the first to review “FABP5 (Marker of Metastatic Potential in Colorectal Cancer) Antibody”

Your email address will not be published. Required fields are marked *

PARTNERSHIP OPPORTUNITIES

NeoBiotechnologies holds Exclusive rights to 10,000 recombinant and hybridoma antibody products, available for Licensing or Collaboration.

LETS TALK