
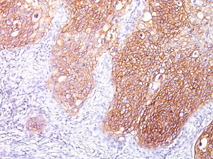
Formalin-fixed, paraffin-embedded human Lung SqCC stained with EGFR Mouse Monoclonal Antibody (GFR/1667).

Formalin-fixed, paraffin-embedded human Bladder stained with EGFR Mouse Monoclonal Antibody (GFR/1667).

Formalin-fixed, paraffin-embedded human Placenta stained with EGFR Mouse Monoclonal Antibody (GFR/1667).
This MAb recognizes a protein of 170kDa, identified as EGFR. EGFR is type I receptor tyrosine kinase with sequence homology to erbB-1, -2, -3 -4 or HER-1, -2, -3 -4. It binds to Epidermal Growth Factor (EGF), Transforming Growth Factor-a (TGF-a), Heparin-binding EGF (HB-EGF), amphiregulin, betacellulin and epiregulin. EGFR is overexpressed in tumors of breast, brain, bladder, lung, gastric, head neck, esophagus, cervix, vulva, ovary, and endometrium. It is predominantly present in squamous cell carcinomas.
There are no reviews yet.