
SDS-PAGE Analysis of Purified ECD Mouse Monoclonal Antibody (PCRP-ECD-1D10). Confirmation of Purity and Integrity of Antibody.

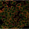
Immunofluorescence analysis of PFA-fixed HeLa cells. ECD Mouse Monoclonal Antibody (PCRP-ECD-1D10) followed by goat anti-mouse IgG-CF488 (green).

Flow cytometric analysis of PFA-fixed HeLa cells. ECD Mouse Monoclonal Antibody (PCRP-ECD-1D10) followed by goat anti-mouse IgG-CF488 (blue), unstained cells (red).

Analysis of Protein Array containing more than 19,000 full-length human proteins using ECD Mouse Monoclonal Antibody (PCRP-ECD-1D10). Z- and S- Score: The Z-score represents the strength of a signal that a monoclonal antibody (MAb) (in combination with a fluorescently-tagged anti-IgG secondary antibody) produces when binding to a particular protein on the HuProtTM array. Z-scores are described in units of standard deviations (SD's) above the mean value of all signals generated on that array. If targets on HuProtTM are arranged in descending order of the Z-score, the S-score is the difference (also in units of SD's) between the Z-score. S-score therefore represents the relative target specificity of a MAb to its intended target. A MAb is considered to specific to its intended target, if the MAb has an S-score of at least 2.5. For example, if a MAb binds to protein X with a Z-score of 43 and to protein Y with a Z-score of 14, then the S-score for the binding of that MAb to protein X is equal to 29.
Inhibits MDM2-mediated degradation of p53/TP53 possibly by cooperating in part with TXNIP. May be involved transcriptional regulation. In vitro has intrinsic transactivation activity enhanced by EP300. May be a transcriptional activator required for the expression of glycolytic genes. Involved in regulation of cell cycle progression. Proposed to disrupt Rb-E2F binding leading to transcriptional activation of E2F proteins. The cell cycle -regulating function may depend on its RUVBL1-mediated association with the R2TP complex. May play a role in regulation of pre-mRNA splicing.
There are no reviews yet.